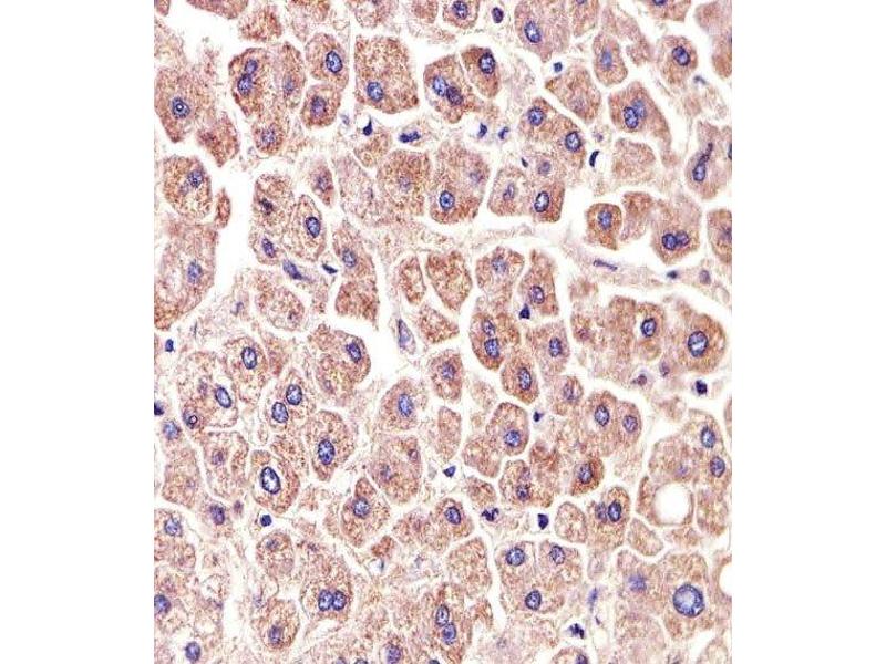
ALDH6A1 antibody
Quick Overview for ALDH6A1 antibody (ABIN4906011)
Target
See all ALDH6A1 AntibodiesReactivity
Host
Clonality
Conjugate
Application
Clone
-
-
Cross-Reactivity
- Human
-
Purification
- Purified monoclonal antibody supplied in PBS with 0.09% (W/V) sodium azide. This antibody is purified through a protein G column, followed by dialysis against PBS.
-
Immunogen
- This ALDH6A1 antibody is generated from mouse immunized with ALDH6A1 recombinant protein.
-
Isotype
- IgG1
-
-
-
-
Application Notes
-
WB 1:300-5000
IHC-P 1:200-400
IF() -
Restrictions
- For Research Use only
-
-
-
Format
- Liquid
-
Concentration
- 0.5 μg/μL
-
Buffer
- 0.01M TBS( pH 7.4) with 1 % BSA, 0.02 % Proclin300 and 50 % Glycerol.
-
Preservative
- ProClin
-
Precaution of Use
- This product contains ProClin: a POISONOUS AND HAZARDOUS SUBSTANCE, which should be handled by trained staff only.
-
Storage
- -20 °C
-
Storage Comment
- Store at -20°C for 12 months.
-
Expiry Date
- 12 months
-
-
- ALDH6A1 (Aldehyde Dehydrogenase 6 Family, Member A1 (ALDH6A1))
-
Alternative Name
- ALDH6A1
-
Background
-
Synonyms: MMSDH, MMSADHA, Methylmalonate-semialdehyde dehydrogenase [acylating], mitochondrial, Malonate-semialdehyde dehydrogenase [acylating], Aldehyde dehydrogenase family 6 member A1, ALDH6A1
Background: Plays a role in valine and pyrimidine metabolism. Binds fatty acyl-CoA.
-
Gene ID
- 4329
-
UniProt
- Q02252
-
Pathways
- Brown Fat Cell Differentiation
Target
-