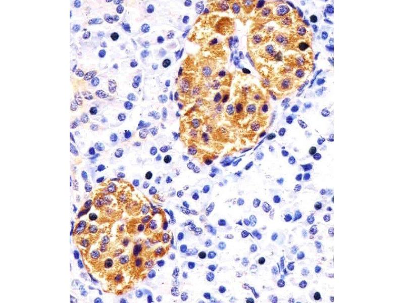
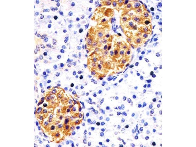
RAB3B antibody
Quick Overview for RAB3B antibody (ABIN4913402)
Target
See all RAB3B AntibodiesReactivity
Host
Clonality
Conjugate
Application
Clone
-
-
Cross-Reactivity
- Human, Mouse, Rat
-
Purification
- Purified by Protein G.
-
Immunogen
- This RAB3B antibody is generated from a mouse immunized with a recombinant protein of human RAB3B.
-
Isotype
- IgG1
-
-
-
-
Application Notes
-
WB 1:300-5000
FCM 1:20-100
IHC-P 1:200-400 -
Restrictions
- For Research Use only
-
-
-
Format
- Liquid
-
Concentration
- 0.5 μg/μL
-
Buffer
- 0.01M TBS( pH 7.4) with 1 % BSA, 0.02 % Proclin300 and 50 % Glycerol.
-
Preservative
- ProClin
-
Precaution of Use
- This product contains ProClin: a POISONOUS AND HAZARDOUS SUBSTANCE, which should be handled by trained staff only.
-
Storage
- 4 °C,-20 °C
-
Storage Comment
- Shipped at 4°C. Store at -20°C for one year. Avoid repeated freeze/thaw cycles.
-
Expiry Date
- 12 months
-
-
- RAB3B (RAB3B, Member RAS Oncogene Family (RAB3B))
-
Alternative Name
- RAB3B
-
Background
-
Synonyms: Ras-related protein Rab-3B, RAB3B
Background: Protein transport. Probably involved in vesicular traffic (By similarity).
-
Gene ID
- 5865
-
UniProt
- P20337
Target
-