Phone:
+1 877 302 8632
Fax:
+1 888 205 9894 (Toll-free)
E-Mail:
orders@antibodies-online.com

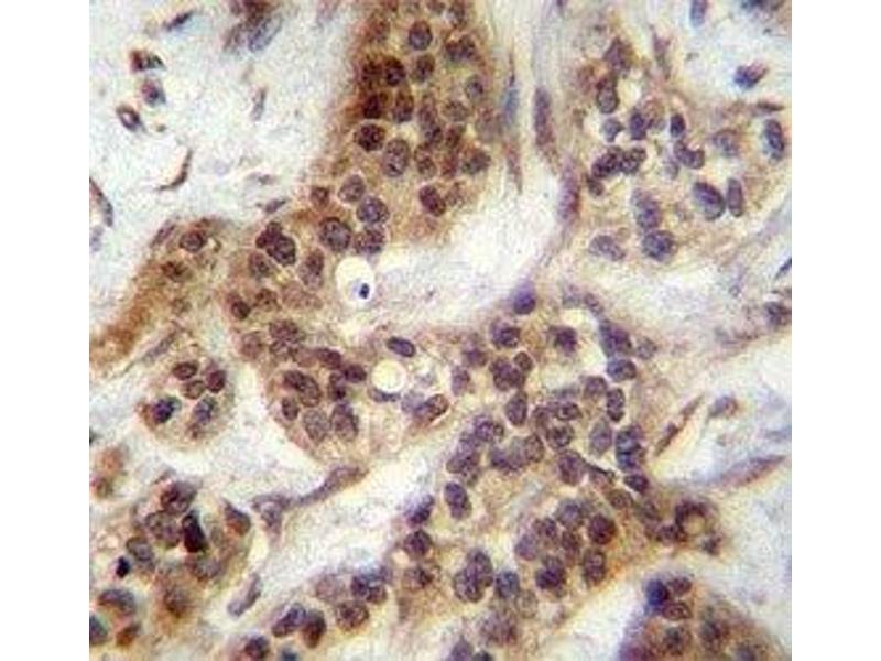
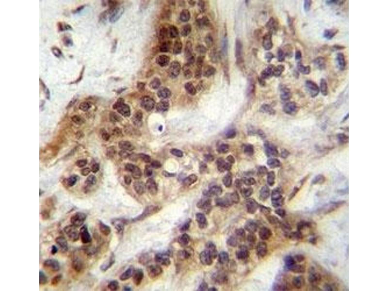
FOXA2 antibody (AA 134-163)

The Rabbit Polyclonal anti-FOXA2 antibody (ABIN3030984) specifically detects FOXA2 in WB, ELISA and IHC. The antibody is reactive with Human samples.
Catalog No. ABIN3030984
$612.54
Plus shipping costs $50.00
Shipping to: United States
Delivery in 2 to 4 Business Days

Quick Overview for FOXA2 antibody (AA 134-163) (ABIN3030984)

Target

See all FOXA2 Antibodies
FOXA2 (Forkhead Box A2 (FOXA2))

Reactivity

  • 101
  • 28
  • 16
  • 6
  • 6
  • 5
  • 4
  • 4
  • 3
  • 3
  • 1
  • 1
Human

Host

  • 89
  • 14
  • 2
Rabbit

Clonality

  • 71
  • 34
Polyclonal

Conjugate

  • 54
  • 6
  • 4
  • 4
  • 3
  • 3
  • 3
  • 3
  • 3
  • 3
  • 3
  • 3
  • 1
  • 1
  • 1
  • 1
  • 1
  • 1
  • 1
  • 1
  • 1
  • 1
  • 1
  • 1
  • 1
This FOXA2 antibody is un-conjugated

Application

  • 90
  • 38
  • 35
  • 31
  • 21
  • 19
  • 14
  • 13
  • 12
  • 7
  • 4
  • 2
  • 2
  • 1
  • 1
  • 1
Western Blotting (WB), ELISA, Immunohistochemistry (IHC)
  • Binding Specificity

    • 16
    • 10
    • 9
    • 8
    • 7
    • 3
    • 2
    • 2
    • 2
    • 2
    • 1
    • 1
    • 1
    • 1
    • 1
    • 1
    • 1
    • 1
    • 1
    • 1
    • 1
    • 1
    • 1
    • 1
    • 1
    AA 134-163

    Cross-Reactivity (Details)

    Expected species reactivity: Mouse, Rat, Zebrafish, Xenopus

    Purification

    Antigen affinity purified

    Immunogen

    A portion of amino acids 134-163 from the human protein was used as the immunogen for this FOXA2 antibody.

    Isotype

    Ig Fraction
  • Application Notes

    Titration of the FOXA2 antibody may be required due to differences in protocols and secondary/substrate sensitivity.\. Western blot: 1:1000,IHC (Paraffin): 1:10-1:50

    Restrictions

    For Research Use only
  • Format

    Liquid

    Buffer

    In 1X PBS, pH 7.4, with 0.09 % sodium azide

    Preservative

    Sodium azide

    Precaution of Use

    This product contains Sodium azide: a POISONOUS AND HAZARDOUS SUBSTANCE which should be handled by trained staff only.

    Storage

    -20 °C

    Storage Comment

    Aliquot the FOXA2 antibody and store frozen at -20°C or colder. Avoid repeated freeze-thaw cycles.
  • Target

    FOXA2 (Forkhead Box A2 (FOXA2))

    Alternative Name

    FOXA2

    Background

    This gene encodes a member of the forkhead class of DNA-binding proteins. These hepatocyte nuclear factors are transcriptional activators for liver-specific genes such as albumin and transthyretin, and they also interact with chromatin. Similar family members in mice have roles in the regulation of metabolism and in the differentiation of the pancreas and liver. This gene has been linked to sporadic cases of maturity-onset diabetes of the young. Transcript variants encoding different isoforms have been identified for this gene.

    UniProt

    Q9Y261

    Pathways

    Dopaminergic Neurogenesis, Regulation of Carbohydrate Metabolic Process
You are here:
Chat with us!