Phone:
+1 877 302 8632
Fax:
+1 888 205 9894 (Toll-free)
E-Mail:
orders@antibodies-online.com

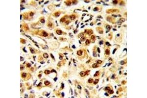
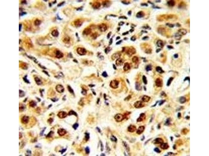
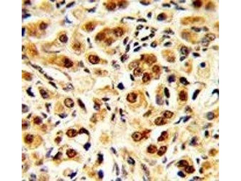
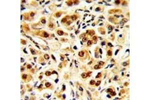
GAPDH antibody (AA 233-259)

The Rabbit Polyclonal anti-GAPDH antibody (ABIN3031092) specifically detects GAPDH in WB, IHC, ELISA, IF and FACS. The antibody is reactive with Human samples.
Catalog No. ABIN3031092
$612.54
Plus shipping costs $50.00
Shipping to: United States
Delivery in 2 to 4 Business Days

Quick Overview for GAPDH antibody (AA 233-259) (ABIN3031092)

Target

See all GAPDH Antibodies
GAPDH (Glyceraldehyde-3-Phosphate Dehydrogenase (GAPDH))

Reactivity

  • 257
  • 182
  • 162
  • 65
  • 58
  • 54
  • 46
  • 42
  • 38
  • 28
  • 25
  • 22
  • 21
  • 18
  • 15
  • 14
  • 12
  • 9
  • 9
  • 6
  • 4
  • 4
  • 4
  • 4
  • 4
  • 4
  • 3
  • 3
  • 2
  • 2
  • 2
  • 2
  • 2
  • 1
  • 1
  • 1
  • 1
  • 1
  • 1
Human

Host

  • 194
  • 96
  • 20
  • 9
  • 4
Rabbit

Clonality

  • 193
  • 128
Polyclonal

Conjugate

  • 178
  • 33
  • 20
  • 16
  • 5
  • 5
  • 5
  • 5
  • 5
  • 5
  • 3
  • 2
  • 2
  • 2
  • 2
  • 2
  • 2
  • 2
  • 2
  • 2
  • 2
  • 2
  • 2
  • 2
  • 2
  • 2
  • 2
  • 2
  • 2
  • 1
  • 1
  • 1
  • 1
  • 1
  • 1
  • 1
This GAPDH antibody is un-conjugated

Application

  • 267
  • 105
  • 102
  • 97
  • 56
  • 55
  • 50
  • 36
  • 20
  • 16
  • 15
  • 15
  • 9
  • 6
  • 5
  • 4
  • 3
  • 3
  • 2
  • 1
  • 1
  • 1
  • 1
  • 1
  • 1
Western Blotting (WB), Immunohistochemistry (IHC), ELISA, Immunofluorescence (IF), Flow Cytometry (FACS)
  • Binding Specificity

    • 38
    • 24
    • 13
    • 12
    • 8
    • 7
    • 6
    • 6
    • 4
    • 4
    • 3
    • 3
    • 3
    • 3
    • 3
    • 2
    • 2
    • 2
    • 2
    • 2
    • 2
    • 1
    • 1
    • 1
    • 1
    • 1
    • 1
    • 1
    • 1
    • 1
    • 1
    • 1
    • 1
    • 1
    • 1
    • 1
    • 1
    • 1
    AA 233-259

    Cross-Reactivity (Details)

    Expected species reactivity: Mouse, Rat, Pig, Chicken

    Purification

    Purified

    Immunogen

    A portion of amino acids 233-259 from the human protein was used as the immunogen for this GAPDH antibody.

    Isotype

    Ig Fraction
  • Application Notes

    Titration of the GAPDH antibody may be required due to differences in protocols and secondary/substrate sensitivity.\. Western blot: 1:1000,IHC (Paraffin): 1:50-1:100,Flow Cytometry: 1:10-1:50,Immunofluorescence: 1:10-1:50

    Restrictions

    For Research Use only
  • Format

    Liquid

    Buffer

    In 1X PBS pH 7.4 with 0.09 % sodium azide

    Preservative

    Sodium azide

    Precaution of Use

    This product contains Sodium azide: a POISONOUS AND HAZARDOUS SUBSTANCE which should be handled by trained staff only.

    Storage

    -20 °C

    Storage Comment

    Aliquot the GAPDH antibody and store frozen at -20°C or colder. Avoid repeated freeze-thaw cycles.
  • Target

    GAPDH (Glyceraldehyde-3-Phosphate Dehydrogenase (GAPDH))

    Alternative Name

    GAPDH

    Background

    GAPDH catalyzes an important energy-yielding step in carbohydrate metabolism, the reversible oxidative phosphorylation of glyceraldehyde-3-phosphate in the presence of inorganic phosphate and nicotinamide adenine dinucleotide (NAD). The enzyme exists as a tetramer of identical chains.

    UniProt

    P04406
You are here:
Chat with us!