Phone:
+1 877 302 8632
Fax:
+1 888 205 9894 (Toll-free)
E-Mail:
orders@antibodies-online.com

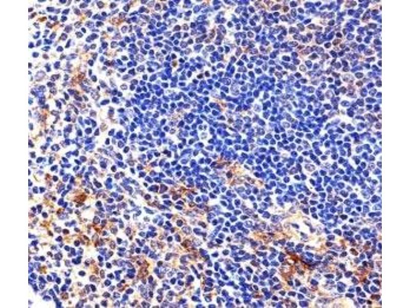
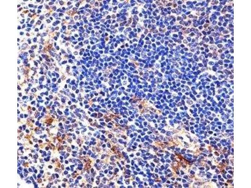
LYN antibody (AA 229-263)

The Rabbit Polyclonal anti-LYN antibody (ABIN3032775) specifically detects LYN in WB, ELISA and IHC. The antibody is reactive with Human, Mouse and Rat samples.
Catalog No. ABIN3032775
$612.54
Plus shipping costs $50.00
Shipping to: United States
Delivery in 2 to 4 Business Days

Quick Overview for LYN antibody (AA 229-263) (ABIN3032775)

Target

See all LYN Antibodies
LYN (V-Yes-1 Yamaguchi Sarcoma Viral Related Oncogene Homolog (LYN))

Reactivity

  • 122
  • 88
  • 67
  • 20
  • 16
  • 15
  • 15
  • 13
  • 7
  • 4
  • 3
  • 2
  • 2
  • 1
  • 1
Human, Mouse, Rat

Host

  • 113
  • 15
  • 2
  • 1
Rabbit

Clonality

  • 114
  • 18
Polyclonal

Conjugate

  • 82
  • 8
  • 6
  • 5
  • 3
  • 2
  • 2
  • 2
  • 2
  • 2
  • 2
  • 2
  • 2
  • 2
  • 2
  • 1
  • 1
  • 1
  • 1
  • 1
  • 1
  • 1
  • 1
This LYN antibody is un-conjugated

Application

  • 116
  • 54
  • 37
  • 25
  • 19
  • 19
  • 16
  • 14
  • 8
  • 8
  • 4
  • 3
  • 1
  • 1
Western Blotting (WB), ELISA, Immunohistochemistry (IHC)
  • Binding Specificity

    • 23
    • 16
    • 9
    • 9
    • 8
    • 5
    • 5
    • 4
    • 4
    • 4
    • 3
    • 3
    • 2
    • 2
    • 2
    • 2
    • 2
    • 2
    • 2
    • 1
    • 1
    • 1
    • 1
    • 1
    • 1
    • 1
    • 1
    • 1
    • 1
    • 1
    • 1
    • 1
    • 1
    • 1
    • 1
    • 1
    • 1
    AA 229-263

    Purification

    Antigen affinity purified

    Immunogen

    This mouse Lyn antibody was produced from a rabbit immunized with a KLH conjugated synthetic peptide between 229-263 amino acids from the Central region of human mouse Lyn.

    Isotype

    Ig Fraction
  • Application Notes

    Titration of the Lyn antibody may be required due to differences in protocols and secondary/substrate sensitivity.\. Western blot: 1:1000-2000,IHC (Paraffin): 1:25

    Restrictions

    For Research Use only
  • Format

    Liquid

    Buffer

    In 1X PBS, pH 7.4, with 0.09 % sodium azide

    Preservative

    Sodium azide

    Precaution of Use

    This product contains Sodium azide: a POISONOUS AND HAZARDOUS SUBSTANCE which should be handled by trained staff only.

    Storage

    -20 °C

    Storage Comment

    Aliquot the Lyn antibody and store frozen at -20°C or colder. Avoid repeated freeze-thaw cycles.
  • Target

    LYN (V-Yes-1 Yamaguchi Sarcoma Viral Related Oncogene Homolog (LYN))

    Alternative Name

    Lyn

    Background

    Non-receptor tyrosine-protein kinase that transmits signals from cell surface receptors and plays an important role in the regulation of innate and adaptive immune responses, hematopoiesis, responses to growth factors and cytokines, integrin signaling, but also responses to DNA damage and genotoxic agents. Functions primarily as negative regulator, but can also function as activator, depending on the context. Required for the initiation of the B-cell response, but also for its down- regulation and termination. Plays an important role in the regulation of B-cell differentiation, proliferation, survival and apoptosis, and is important for immune self-tolerance. Acts downstream of several immune receptors, including the B-cell receptor, CD79A, CD79B, CD5, CD19, CD22, FCER1, FCGR2, FCGR1A, TLR2 and TLR4. Plays a role in the inflammatory response to bacterial lipopolysaccharide. Mediates the responses to cytokines and growth factors in hematopoietic progenitors, platelets, erythrocytes, and in mature myeloid cells, such as dendritic cells, neutrophils and eosinophils. Acts downstream of EPOR, KIT, MPL, the chemokine receptor CXCR4, as well as the receptors for IL3, IL5 and CSF2. Plays an important role in integrin signaling. Regulates cell proliferation, survival, differentiation, migration, adhesion, degranulation, and cytokine release. Down- regulates signaling pathways by phosphorylation of immunoreceptor tyrosine-based inhibitory motifs (ITIM), that then serve as binding sites for phosphatases, such as PTPN6/SHP-1, PTPN11/SHP-2 and INPP5D/SHIP-1, that modulate signaling by dephosphorylation of kinases and their substrates. Phosphorylates LIME1 in response to CD22 activation. Phosphorylates BTK, CBL, CD5, CD19, CD72, CD79A, CD79B, CSF2RB, DOK1, HCLS1, LILRB3/PIR-B, MS4A2/FCER1B, PTK2B/PYK2, SYK and TEC. Promotes phosphorylation of SIRPA, PTPN6/SHP-1, PTPN11/SHP-2 and INPP5D/SHIP-1. Required for rapid phosphorylation of FER in response to FCER1 activation. Mediates KIT phosphorylation. Acts as an effector of EPOR (erythropoietin receptor) in controlling KIT expression and may play a role in erythroid differentiation during the switch between proliferation and maturation. Depending on the context, activates or inhibits several signaling cascades. Regulates phosphatidylinositol 3- kinase activity and AKT1 activation. Regulates activation of the MAP kinase signaling cascade, including activation of MAP2K1/MEK1, MAPK1/ERK2, MAPK3/ERK1, MAPK8/JNK1 and MAPK9/JNK2. Mediates activation of STAT5A and/or STAT5B. Phosphorylates LPXN on 'Tyr- 72'.

    UniProt

    P25911

    Pathways

    Fc-epsilon Receptor Signaling Pathway, Hormone Transport, Response to Growth Hormone Stimulus, Cellular Response to Molecule of Bacterial Origin, Regulation of Leukocyte Mediated Immunity, Positive Regulation of Immune Effector Process, CXCR4-mediated Signaling Events, Thromboxane A2 Receptor Signaling, Integrin Complex, BCR Signaling
You are here:
Chat with us!