Phone:
+1 877 302 8632
Fax:
+1 888 205 9894 (Toll-free)
E-Mail:
orders@antibodies-online.com

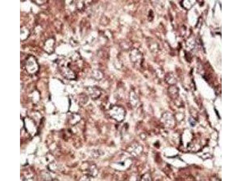
PRMT7 antibody (AA 1-30)

The Rabbit Polyclonal anti-PRMT7 antibody (ABIN3032364) specifically detects PRMT7 in WB, ELISA and IHC. The antibody is reactive with Human samples.
Catalog No. ABIN3032364
$612.54
Plus shipping costs $50.00
Shipping to: United States
Delivery in 2 to 4 Business Days

Quick Overview for PRMT7 antibody (AA 1-30) (ABIN3032364)

Target

See all PRMT7 Antibodies
PRMT7 (Protein Arginine Methyltransferase 7 (PRMT7))

Reactivity

  • 52
  • 22
  • 18
  • 4
  • 3
  • 3
  • 2
  • 2
  • 1
  • 1
  • 1
  • 1
Human

Host

  • 47
  • 4
  • 1
Rabbit

Clonality

  • 37
  • 15
Polyclonal

Conjugate

  • 33
  • 2
  • 2
  • 2
  • 2
  • 2
  • 2
  • 2
  • 2
  • 1
  • 1
  • 1
This PRMT7 antibody is un-conjugated

Application

  • 41
  • 16
  • 13
  • 7
  • 4
  • 3
  • 3
  • 3
  • 1
  • 1
  • 1
Western Blotting (WB), ELISA, Immunohistochemistry (IHC)
  • Binding Specificity

    • 6
    • 6
    • 4
    • 4
    • 2
    • 2
    • 1
    • 1
    • 1
    • 1
    • 1
    • 1
    AA 1-30

    Purification

    Purified

    Immunogen

    A portion of amino acids 1-30 from the human protein was used as the immunogen for this PRMT7 antibody.

    Isotype

    Ig Fraction
  • Application Notes

    Titration of the PRMT7 antibody may be required due to differences in protocols and secondary/substrate sensitivity.\. Western blot: 1:1000,IHC (Paraffin): 1:50-1:100

    Restrictions

    For Research Use only
  • Format

    Liquid

    Buffer

    In 1X PBS, pH 7.4, with 0.09 % sodium azide

    Preservative

    Sodium azide

    Precaution of Use

    This product contains Sodium azide: a POISONOUS AND HAZARDOUS SUBSTANCE which should be handled by trained staff only.

    Storage

    -20 °C

    Storage Comment

    Aliquot the PRMT7 antibody and store frozen at -20°C or colder. Avoid repeated freeze-thaw cycles.
  • Target

    PRMT7 (Protein Arginine Methyltransferase 7 (PRMT7))

    Alternative Name

    PRMT7

    Background

    Arginine methylation is an irreversible post translational modification which has only recently been linked to protein activity. At least three types of PRMT enzymes have been identified in mammalian cells. These enzymes have been shown to have essential regulatory functions by methylation of key proteins in several fundamental areas. These protein include nuclear proteins, IL enhancer binding factor, nuclear factors, cell cycle proteins, signal transduction proteins, apoptosis proteins, and viral proteins. The mammalian PRMT family currently consists of 7 members that share two large domains of homology. Outside of these domains, epitopes were identified and antibodies against all 7 PRMT members have been developed.

    UniProt

    Q9NVM4

    Pathways

    Ribonucleoprotein Complex Subunit Organization
You are here:
Chat with us!