Phone:
+1 877 302 8632
Fax:
+1 888 205 9894 (Toll-free)
E-Mail:
orders@antibodies-online.com

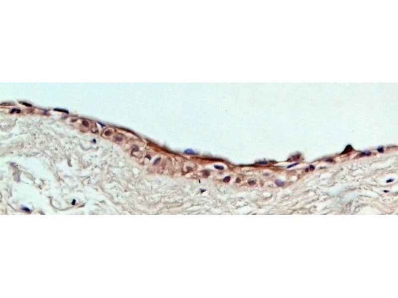
KRT12 antibody

This Guinea Pig Polyclonal antibody specifically detects KRT12 in WB and IHC. It exhibits reactivity toward Human.
Catalog No. ABIN4956415
$462.16
Plus shipping costs $50.00
100 μL
Shipping to: United States
Delivery in 6 to 9 Business Days

Quick Overview for KRT12 antibody (ABIN4956415)

Target

See all KRT12 Antibodies
KRT12 (Keratin 12 (KRT12))

Reactivity

  • 50
  • 28
  • 18
  • 1
Human

Host

  • 53
  • 2
  • 1
Guinea Pig

Clonality

  • 45
  • 11
Polyclonal

Conjugate

  • 20
  • 7
  • 4
  • 3
  • 2
  • 1
  • 1
  • 1
  • 1
  • 1
  • 1
  • 1
  • 1
  • 1
  • 1
  • 1
  • 1
  • 1
  • 1
  • 1
  • 1
  • 1
  • 1
  • 1
  • 1
This KRT12 antibody is un-conjugated

Application

  • 48
  • 28
  • 15
  • 14
  • 14
  • 13
  • 13
  • 10
  • 5
  • 3
  • 2
  • 1
  • 1
Western Blotting (WB), Immunohistochemistry (IHC)
  • Cross-Reactivity

    Pig (Porcine), Human, Mouse (Murine)

    Immunogen

    Synthetic peptide of human keratin K12 (formerly also designated cytokeratin 12, DLS NNT MSL SVR T-C)
  • Application Notes

    Dilution for IHC: 1:100 - 1:200

    Restrictions

    For Research Use only
  • Format

    Liquid

    Buffer

    serum

    Preservative

    Sodium azide

    Precaution of Use

    This product contains Sodium azide: a POISONOUS AND HAZARDOUS SUBSTANCE which should be handled by trained staff only.

    Storage

    4 °C/-20 °C
  • Target

    KRT12 (Keratin 12 (KRT12))

    Alternative Name

    Keratin K12

    Background

    MW 55,000 (pI 4.9) intermediate filament polypeptide, keratin K12, detected by immunohistochemistry in the cornea only. Useful as a marker for corneal type differentiation (positive for epithelial cells of cornea) and for studying corneal epithelial stem cells.
You are here:
Chat with us!