Phone:
+1 877 302 8632
Fax:
+1 888 205 9894 (Toll-free)
E-Mail:
orders@antibodies-online.com

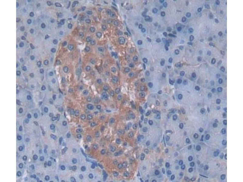
NT5C antibody (AA 55-198)

This Rabbit Polyclonal antibody specifically detects NT5C in WB, IHC, IP and ICC. It exhibits reactivity toward Human.
Catalog No. ABIN5013051
$245.00
Plus shipping costs $50.00
100 μL
Shipping to: United States
Delivery in 15 to 19 Business Days

Quick Overview for NT5C antibody (AA 55-198) (ABIN5013051)

Target

See all NT5C Antibodies
NT5C (5',3'-Nucleotidase, Cytosolic (NT5C))

Reactivity

  • 18
  • 3
  • 2
  • 1
Human

Host

  • 15
  • 4
Rabbit

Clonality

  • 18
  • 1
Polyclonal

Conjugate

  • 19
This NT5C antibody is un-conjugated

Application

  • 18
  • 8
  • 4
  • 3
  • 2
  • 2
  • 1
  • 1
Western Blotting (WB), Immunohistochemistry (IHC), Immunoprecipitation (IP), Immunocytochemistry (ICC)
  • Binding Specificity

    • 4
    • 2
    • 1
    • 1
    • 1
    • 1
    • 1
    • 1
    • 1
    • 1
    AA 55-198

    Purpose

    Polyclonal Antibody to 5',3'-Nucleotidase, Cytosolic (NT5C)

    Specificity

    The antibody is a rabbit polyclonal antibody raised against NT5C. It has been selected for its ability to recognize NT5C in immunohistochemical staining and western blotting.

    Purification

    Antigen-specific affinity chromatography followed by Protein A affinity chromatography

    Immunogen

    NT5C (Pro55-Ala198)

    Isotype

    IgG
  • Application Notes

    Western blotting: 0.2-2 μg/mL,1:250-2500 Immunohistochemistry: 5-20 μg/mL,1:25-100 Immunocytochemistry: 5-20 μg/mL,1:25-100 Optimal working dilutions must be determined by end user.

    Comment

    The thermal stability is described by the loss rate. The loss rate was determined by accelerated thermal degradation test, that is, incubate the protein at 37°C for 48h, and no obvious degradation and precipitation were observed. The loss rate is less than 5% within the expiration date under appropriate storage condition.

    Restrictions

    For Research Use only
  • Format

    Liquid

    Concentration

    500 μg/mL

    Buffer

    PBS, pH 7.4, containing 0.02 % Sodium azide, 50 % glycerol.

    Preservative

    Sodium azide

    Storage

    4 °C,-20 °C

    Storage Comment

    Store at 4°C for frequent use. Stored at -20°C in a manual defrost freezer for two year without detectable loss of activity. Avoid repeated freeze-thaw cycles.
  • Target

    NT5C (5',3'-Nucleotidase, Cytosolic (NT5C))

    Alternative Name

    NT5C

    Background

    DNT, DNT1, P5N2, PN-I, PN-II, UMPH2, cdN, 5'Nucleotidase,Deoxy(Pyrimidine)Cytosolic Type C, Uridine 5-Prime Monophosphate Hydrolase 2, 5'(3')-deoxyribonucleotidase, cytosolic
You are here:
Chat with us!