Phone:
+1 877 302 8632
Fax:
+1 888 205 9894 (Toll-free)
E-Mail:
orders@antibodies-online.com

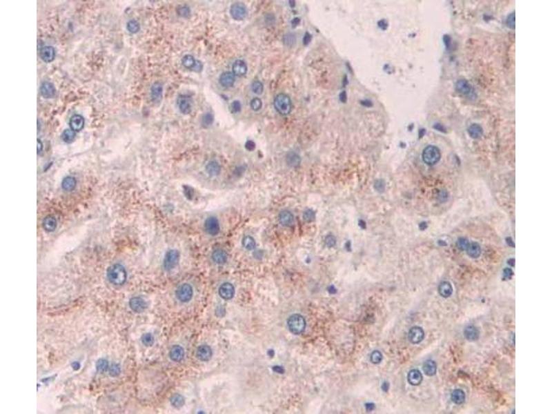
ACAA1 antibody (AA 182-424)

The Rabbit Polyclonal anti-ACAA1 antibody (ABIN5013059) specifically detects ACAA1 in WB, IHC, IP and ICC. The antibody is reactive with Human samples.
Catalog No. ABIN5013059
$245.00
Plus shipping costs $50.00
100 μL
Shipping to: United States
Delivery in 15 to 19 Business Days

Quick Overview for ACAA1 antibody (AA 182-424) (ABIN5013059)

Target

See all ACAA1 Antibodies
ACAA1 (Acetyl-CoA Acyltransferase 1 (ACAA1))

Reactivity

  • 48
  • 10
  • 5
  • 2
  • 2
  • 2
  • 2
  • 1
  • 1
  • 1
Human

Host

  • 44
  • 6
Rabbit

Clonality

  • 46
  • 4
Polyclonal

Conjugate

  • 27
  • 4
  • 3
  • 3
  • 1
  • 1
  • 1
  • 1
  • 1
  • 1
  • 1
  • 1
  • 1
  • 1
  • 1
  • 1
  • 1
This ACAA1 antibody is un-conjugated

Application

  • 43
  • 23
  • 13
  • 13
  • 12
  • 5
  • 4
  • 3
  • 3
  • 2
  • 2
Western Blotting (WB), Immunohistochemistry (IHC), Immunoprecipitation (IP), Immunocytochemistry (ICC)
  • Binding Specificity

    • 15
    • 8
    • 5
    • 4
    • 3
    • 2
    • 2
    • 2
    • 1
    • 1
    • 1
    • 1
    • 1
    • 1
    • 1
    AA 182-424

    Purpose

    Polyclonal Antibody to Acetyl Coenzyme A Acyltransferase 1 (ACAA1)

    Specificity

    The antibody is a rabbit polyclonal antibody raised against ACAA1. It has been selected for its ability to recognize ACAA1 in immunohistochemical staining and western blotting.

    Cross-Reactivity

    Mouse, Pig, Rat

    Purification

    Antigen-specific affinity chromatography followed by Protein A affinity chromatography

    Immunogen

    RPD658Hu01Recombinant Acetyl Coenzyme A Acyltransferase 1 (ACAA1)

    Isotype

    IgG
  • Application Notes

    Western blotting: 0.2-2 μg/mL,1:250-2500 Immunohistochemistry: 5-20 μg/mL,1:25-100 Immunocytochemistry: 5-20 μg/mL,1:25-100 Optimal working dilutions must be determined by end user.

    Comment

    The thermal stability is described by the loss rate. The loss rate was determined by accelerated thermal degradation test, that is, incubate the protein at 37°C for 48h, and no obvious degradation and precipitation were observed. The loss rate is less than 5% within the expiration date under appropriate storage condition.

    Restrictions

    For Research Use only
  • Format

    Liquid

    Concentration

    500 μg/mL

    Buffer

    PBS, pH 7.4, containing 0.01 % SKL, 1 mM DTT, 5 % Trehalose and Proclin300.

    Preservative

    Dithiothreitol (DTT), ProClin

    Storage

    4 °C,-20 °C

    Storage Comment

    Store at 4°C for frequent use. Stored at -20°C in a manual defrost freezer for two year without detectable loss of activity. Avoid repeated freeze-thaw cycles.
  • Target

    ACAA1 (Acetyl-CoA Acyltransferase 1 (ACAA1))

    Alternative Name

    ACAA1

    Background

    ACAA, PTHIO, Peroxisomal 3-Oxoacyl-Coenzyme A Thiolase, Acetyl-CoA acyltransferase, Beta-ketothiolase

    Pathways

    Monocarboxylic Acid Catabolic Process
You are here:
Chat with us!