Phone:
+1 877 302 8632
Fax:
+1 888 205 9894 (Toll-free)
E-Mail:
orders@antibodies-online.com

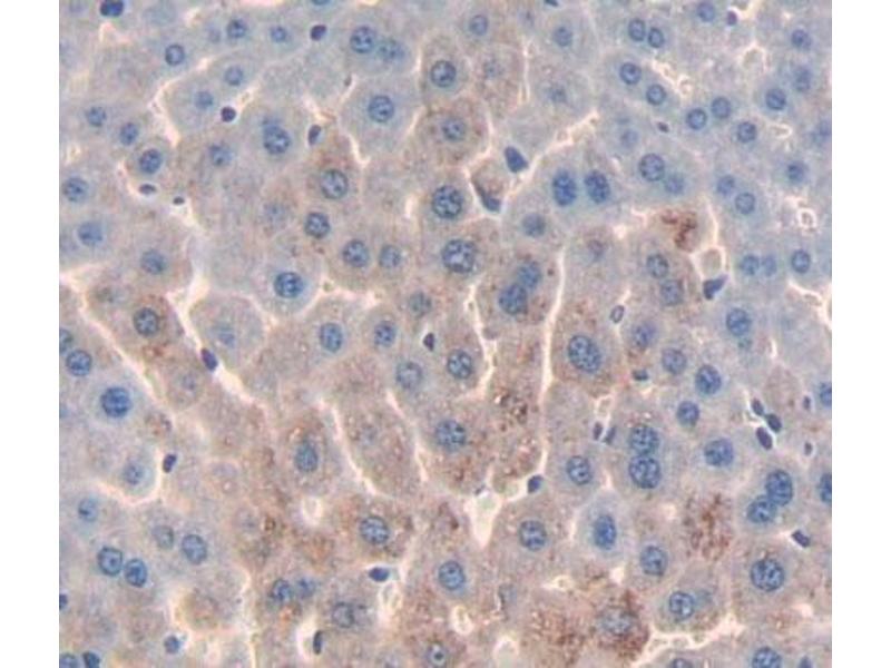
ACP6 antibody (AA 1-418)

The Rabbit Polyclonal anti-ACP6 antibody (ABIN5013065) specifically detects ACP6 in WB, IHC, IP and ICC. The antibody is reactive with Mouse samples.
Catalog No. ABIN5013065
$252.00
Plus shipping costs $50.00
100 μL
Shipping to: United States
Delivery in 15 to 19 Business Days

Quick Overview for ACP6 antibody (AA 1-418) (ABIN5013065)

Target

See all ACP6 Antibodies
ACP6 (Acid Phosphatase 6, Lysophosphatidic (ACP6))

Reactivity

  • 28
  • 9
  • 4
  • 3
  • 3
  • 2
  • 2
  • 1
  • 1
  • 1
Mouse

Host

  • 31
  • 2
Rabbit

Clonality

  • 33
Polyclonal

Conjugate

  • 23
  • 2
  • 1
  • 1
  • 1
  • 1
  • 1
  • 1
  • 1
  • 1
This ACP6 antibody is un-conjugated

Application

  • 21
  • 10
  • 8
  • 5
  • 5
  • 1
  • 1
Western Blotting (WB), Immunohistochemistry (IHC), Immunoprecipitation (IP), Immunocytochemistry (ICC)
  • Binding Specificity

    • 6
    • 5
    • 2
    • 1
    • 1
    • 1
    • 1
    • 1
    AA 1-418

    Purpose

    Polyclonal Antibody to Acid Phosphatase 6, Lysophosphatidic (ACP6)

    Specificity

    The antibody is a rabbit polyclonal antibody raised against ACP6. It has been selected for its ability to recognize ACP6 in immunohistochemical staining and western blotting.

    Cross-Reactivity

    Human, Rat

    Purification

    Antigen-specific affinity chromatography followed by Protein A affinity chromatography

    Immunogen

    ACP6 (Met1-Glu418)

    Isotype

    IgG
  • Application Notes

    Western blotting: 0.2-2 μg/mL,1:250-2500 Immunohistochemistry: 5-20 μg/mL,1:25-100 Immunocytochemistry: 5-20 μg/mL,1:25-100 Optimal working dilutions must be determined by end user.

    Comment

    The thermal stability is described by the loss rate. The loss rate was determined by accelerated thermal degradation test, that is, incubate the protein at 37°C for 48h, and no obvious degradation and precipitation were observed. The loss rate is less than 5% within the expiration date under appropriate storage condition.

    Restrictions

    For Research Use only
  • Format

    Liquid

    Concentration

    500 μg/mL

    Buffer

    PBS, pH 7.4, containing 0.01 % SKL, 1 mM DTT, 5 % Trehalose and Proclin300.

    Preservative

    Dithiothreitol (DTT), ProClin

    Storage

    4 °C,-20 °C

    Storage Comment

    Store at 4°C for frequent use. Stored at -20°C in a manual defrost freezer for two year without detectable loss of activity. Avoid repeated freeze-thaw cycles.
  • Target

    ACP6 (Acid Phosphatase 6, Lysophosphatidic (ACP6))

    Alternative Name

    ACP6

    Background

    LPAP, ACPL1, PACPL1, Acid phosphatase-like protein 1, Lysophosphatidic acid phosphatase type 6
You are here:
Chat with us!