Phone:
+1 877 302 8632
Fax:
+1 888 205 9894 (Toll-free)
E-Mail:
orders@antibodies-online.com

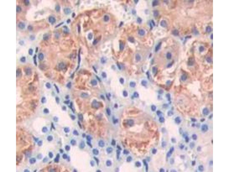
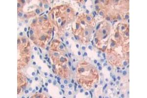
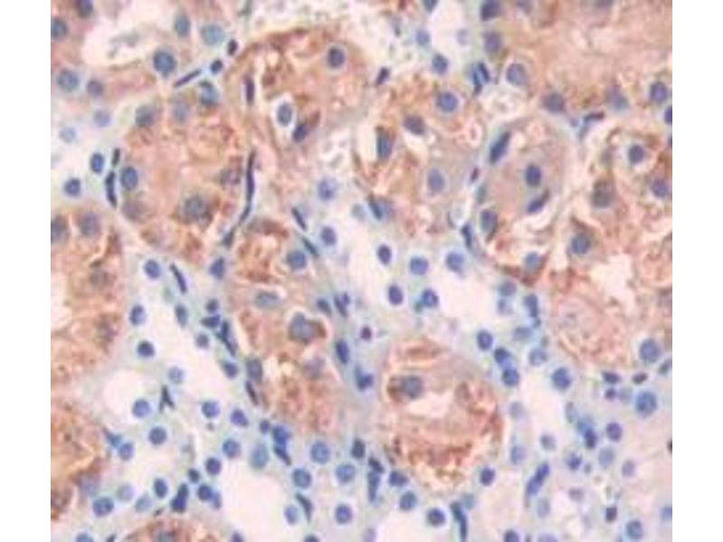
DGKG antibody (AA 346-576)

This Rabbit Polyclonal antibody specifically detects DGKG in WB, IHC, IP and ICC. It exhibits reactivity toward Mouse.
Catalog No. ABIN5013452
$252.00
Plus shipping costs $50.00
100 μL
Shipping to: United States
Delivery in 15 to 19 Business Days

Quick Overview for DGKG antibody (AA 346-576) (ABIN5013452)

Target

See all DGKG Antibodies
DGKG (DAG Kinase gamma)

Reactivity

  • 17
  • 7
  • 5
  • 1
  • 1
  • 1
  • 1
  • 1
Mouse

Host

  • 19
  • 2
Rabbit

Clonality

  • 21
Polyclonal

Conjugate

  • 17
  • 2
  • 1
  • 1
This DGKG antibody is un-conjugated

Application

  • 15
  • 8
  • 7
  • 6
  • 6
  • 1
  • 1
  • 1
Western Blotting (WB), Immunohistochemistry (IHC), Immunoprecipitation (IP), Immunocytochemistry (ICC)
  • Binding Specificity

    • 6
    • 4
    • 2
    • 2
    • 1
    AA 346-576

    Purpose

    Polyclonal Antibody to Diacylglycerol Kinase Gamma (DGKg)

    Specificity

    The antibody is a rabbit polyclonal antibody raised against DGKg. It has been selected for its ability to recognize DGKg in immunohistochemical staining and western blotting.

    Cross-Reactivity

    Human, Mouse

    Purification

    Antigen-specific affinity chromatography followed by Protein A affinity chromatography

    Immunogen

    RPE849Mu01Recombinant Diacylglycerol Kinase Gamma (DGKg)

    Isotype

    IgG
  • Application Notes

    Western blotting: 0.5-2 μg/mL,Immunohistochemistry: 5-20 μg/mL,Immunocytochemistry: 5-20 μg/mL,Optimal working dilutions must be determined by end user.

    Comment

    The thermal stability is described by the loss rate. The loss rate was determined by accelerated thermal degradation test, that is, incubate the protein at 37°C for 48h, and no obvious degradation and precipitation were observed. The loss rate is less than 5% within the expiration date under appropriate storage condition.

    Restrictions

    For Research Use only
  • Format

    Liquid

    Concentration

    500 μg/mL

    Buffer

    0.01M PBS, pH 7.4, containing 0.05 % Proclin-300, 50 % glycerol.

    Preservative

    ProClin

    Storage

    4 °C,-20 °C

    Storage Comment

    Store at 4°C for frequent use. Stored at -20°C in a manual defrost freezer for two year without detectable loss of activity. Avoid repeated freeze-thaw cycles.
  • Target

    DGKG (DAG Kinase gamma)

    Alternative Name

    DGKg

    Background

    DAGK3, DGK-GAMMA, Diglyceride kinase gamma
You are here:
Chat with us!