Phone:
+1 877 302 8632
Fax:
+1 888 205 9894 (Toll-free)
E-Mail:
orders@antibodies-online.com

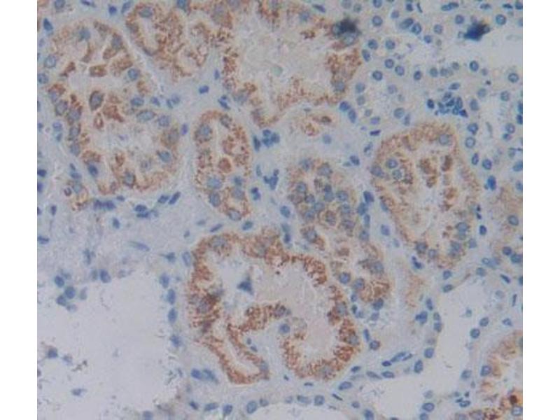
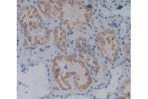
IFNE antibody (AA 30-208)

The Rabbit Polyclonal anti-IFNE antibody is suitable to detect IFNE in samples from Human. It has been validated for WB, IP, IHC and ICC.
Catalog No. ABIN5013765
$245.00
Plus shipping costs $50.00
100 μL
Shipping to: United States
Delivery in 15 to 19 Business Days

Quick Overview for IFNE antibody (AA 30-208) (ABIN5013765)

Target

See all IFNE Antibodies
IFNE (Interferon epsilon (IFNE))

Reactivity

  • 14
  • 9
  • 1
  • 1
  • 1
Human

Host

  • 20
  • 3
Rabbit

Clonality

  • 21
  • 2
Polyclonal

Conjugate

  • 17
  • 2
  • 2
  • 2
This IFNE antibody is un-conjugated

Application

  • 18
  • 15
  • 5
  • 3
  • 2
Western Blotting (WB), Immunoprecipitation (IP), Immunohistochemistry (IHC), Immunocytochemistry (ICC)
  • Binding Specificity

    • 5
    • 3
    • 2
    • 2
    • 1
    • 1
    • 1
    • 1
    • 1
    • 1
    AA 30-208

    Purpose

    Polyclonal Antibody to Interferon Epsilon (IFNe)

    Specificity

    The antibody is a rabbit polyclonal antibody raised against IFNe. It has been selected for its ability to recognize IFNe in immunohistochemical staining and western blotting.

    Cross-Reactivity

    Rat

    Purification

    Antigen-specific affinity chromatography followed by Protein A affinity chromatography

    Immunogen

    RPD175Hu01Recombinant Interferon Epsilon (IFNe)

    Isotype

    IgG
  • Application Notes

    Western blotting: 0.01-3 μg/mL,Immunohistochemistry: 5-30 μg/mL,Immunocytochemistry: 5-30 μg/mL,Optimal working dilutions must be determined by end user.

    Comment

    The thermal stability is described by the loss rate. The loss rate was determined by accelerated thermal degradation test, that is, incubate the protein at 37°C for 48h, and no obvious degradation and precipitation were observed. The loss rate is less than 5% within the expiration date under appropriate storage condition.

    Restrictions

    For Research Use only
  • Format

    Liquid

    Concentration

    0.5 mg/mL

    Buffer

    PBS, pH 7.4, containing 0.02 % Sodium azide, 50 % glycerol.

    Preservative

    Sodium azide

    Storage

    4 °C,-20 °C

    Storage Comment

    Store at 4°C for frequent use. Stored at -20°C in a manual defrost freezer for two year without detectable loss of activity. Avoid repeated freeze-thaw cycles.
  • Target

    IFNE (Interferon epsilon (IFNE))

    Alternative Name

    IFNe

    Background

    IFN-E1

    Pathways

    Hormone Activity
You are here:
Chat with us!