Phone:
+1 877 302 8632
Fax:
+1 888 205 9894 (Toll-free)
E-Mail:
orders@antibodies-online.com

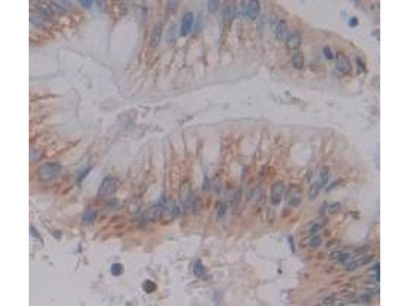
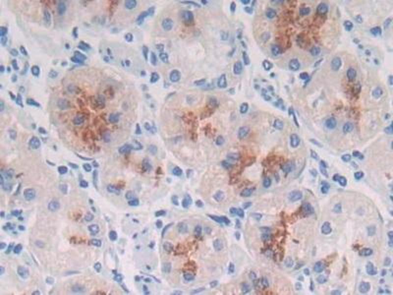
MUC3B antibody (AA 836-931)

The Rabbit Polyclonal anti-MUC3B antibody is suitable to detect MUC3B in samples from Human. It has been validated for WB and IHC.
Catalog No. ABIN5013960
$269.00
Plus shipping costs $50.00
100 μL
Shipping to: United States
Delivery in 15 to 19 Business Days

Quick Overview for MUC3B antibody (AA 836-931) (ABIN5013960)

Target

MUC3B (Mucin 3B, Cell Surface Associated (MUC3B))

Reactivity

  • 21
  • 2
  • 2
  • 2
  • 1
  • 1
  • 1
  • 1
  • 1
Human

Host

  • 21
Rabbit

Clonality

  • 21
Polyclonal

Conjugate

  • 16
  • 1
  • 1
  • 1
  • 1
  • 1
This MUC3B antibody is un-conjugated

Application

  • 21
  • 10
  • 9
  • 2
  • 1
Western Blotting (WB), Immunohistochemistry (IHC)
  • Binding Specificity

    • 8
    • 4
    • 3
    • 2
    • 1
    • 1
    • 1
    • 1
    • 1
    • 1
    AA 836-931

    Purpose

    Polyclonal Antibody to Mucin 3B, Cell Surface Associated (MUC3B)

    Specificity

    The antibody is a rabbit polyclonal antibody raised against MUC3B. It has been selected for its ability to recognize MUC3B in immunohistochemical staining and western blotting.

    Purification

    Antigen-specific affinity chromatography followed by Protein A affinity chromatography

    Immunogen

    RPP416Hu01Recombinant Mucin 3B, Cell Surface Associated (MUC3B)

    Isotype

    IgG
  • Application Notes

    Western blotting: 0.01-2 μg/mL,Immunohistochemistry: 5-20 μg/mL, ,Optimal working dilutions must be determined by end user.

    Comment

    The thermal stability is described by the loss rate. The loss rate was determined by accelerated thermal degradation test, that is, incubate the protein at 37°C for 48h, and no obvious degradation and precipitation were observed. The loss rate is less than 5% within the expiration date under appropriate storage condition.

    Restrictions

    For Research Use only
  • Format

    Liquid

    Concentration

    0.5 mg/mL

    Buffer

    0.01M PBS, pH 7.4, containing 0.05 % Proclin-300, 50 % glycerol.

    Preservative

    ProClin

    Storage

    4 °C,-20 °C

    Storage Comment

    Store at 4°C for frequent use. Stored at -20°C in a manual defrost freezer for two year without detectable loss of activity. Avoid repeated freeze-thaw cycles.
  • Target

    MUC3B (Mucin 3B, Cell Surface Associated (MUC3B))

    Alternative Name

    MUC3B

    Background

    Intestinal mucin-3B
You are here:
Chat with us!