Phone:
+1 877 302 8632
Fax:
+1 888 205 9894 (Toll-free)
E-Mail:
orders@antibodies-online.com

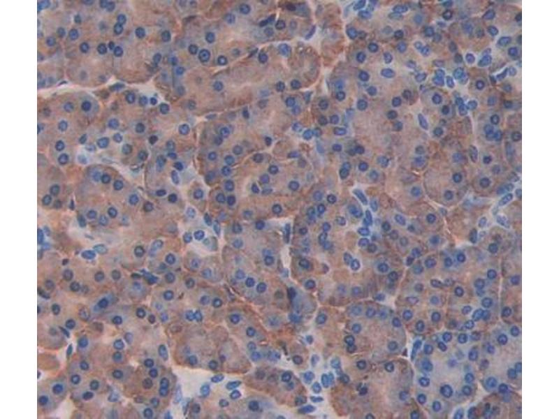
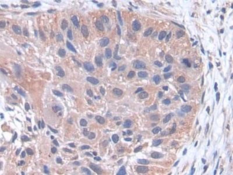
pPLA2 antibody (AA 16-148)

The Rabbit Polyclonal anti-pPLA2 antibody is suitable to detect pPLA2 in samples from Human. It has been validated for IHC, WB and ICC.
Catalog No. ABIN5014104
$245.00
Plus shipping costs $50.00
100 μL
Shipping to: United States
Delivery in 15 to 19 Business Days

Quick Overview for pPLA2 antibody (AA 16-148) (ABIN5014104)

Target

pPLA2 (Phospholipase A2, Pancreas (pPLA2))

Reactivity

Human

Host

Rabbit

Clonality

Polyclonal

Application

Immunohistochemistry (IHC), Western Blotting (WB), Immunocytochemistry (ICC)
  • Binding Specificity

    AA 16-148

    Specificity

    The antibody is a rabbit polyclonal antibody raised against pPLA2. It has been selected for its ability to recognize pPLA2 in immunohistochemical staining and western blotting.

    Purification

    Antigen-specific affinity chromatography

    Immunogen

    pPLA2 (Asp16-Ser148)

    Isotype

    IgG
  • Application Notes

    • Western blotting: 1:50-400 Immunocytochemistry in formalin fixed cells: 1:50-500 Immunohistochemistry in formalin fixed frozen section: 1:50-500 Immunohistochemistry in paraffin section: 1:10-100 Enzyme-linked Immunosorbent Assay: 1:100-1:5000 Optimal working dilutions must be determined by end user.

    Comment

    The thermal stability is described by the loss rate. The loss rate was determined by accelerated thermal degradation test, that is, incubate the protein at 37°C for 48h, and no obvious degradation and precipitation were observed. The loss rate is less than 5% within the expiration date under appropriate storage condition.

    Restrictions

    For Research Use only
  • Format

    Liquid

    Concentration

    Lot specific

    Buffer

    PBS, pH 7.4, containing 0.02 % Sodium azide, 50 % glycerol.
  • Target

    pPLA2 (Phospholipase A2, Pancreas (pPLA2))

    Background

    Alternative Names: PLA2G1B, PLA2A, PPLA2, Phospholipase A2, Group IB, Group IB phospholipase A2, Phosphatidylcholine 2-acylhydrolase 1B
You are here:
Chat with us!