Phone:
+1 877 302 8632
Fax:
+1 888 205 9894 (Toll-free)
E-Mail:
orders@antibodies-online.com

Acrolein antibody (HRP)

The HRP-conjugated Mouse Monoclonal anti-Acrolein antibody (Clone 10A10) (ABIN5067194) specifically detects Acrolein in ELISA, FACS, WB, ICC, IF and IHC.
Catalog No. ABIN5067194
$700.00
Plus shipping costs $50.00
100 μg
Shipping to: United States
Delivery in 3 to 5 Business Days

Quick Overview for Acrolein antibody (HRP) (ABIN5067194)

Target

Acrolein (ACR)

Host

  • 9
Mouse

Clonality

  • 9
Monoclonal

Conjugate

  • 1
  • 1
  • 1
  • 1
  • 1
  • 1
  • 1
  • 1
  • 1
This Acrolein antibody is conjugated to HRP

Application

ELISA, Flow Cytometry (FACS), Western Blotting (WB), Immunocytochemistry (ICC), Immunofluorescence (IF), Immunohistochemistry (IHC)

Clone

10A10
  • Specificity

    Specific for Acrolein modified proteins. Does not detect free acrolein. Does not X-react with Crotonaldehyde, Hexanoyl Lysine, 4-HHE, 4-HNE, MDA, or Methylglyoxal modified proteins.

    Purification

    Protein G Purified

    Immunogen

    Synthetic Acrolein modified Keyhole Limpet Hemocyanin (KLH).

    Isotype

    IgG1
  • Application Notes

    • WB (1:1000)
    • ICC/IF (1:50)
    • FACS (1:50)
    • FCM (1:50)
    • ELISA (1:1000)
    • optimal dilutions for assays should be determined by the user.

    Comment

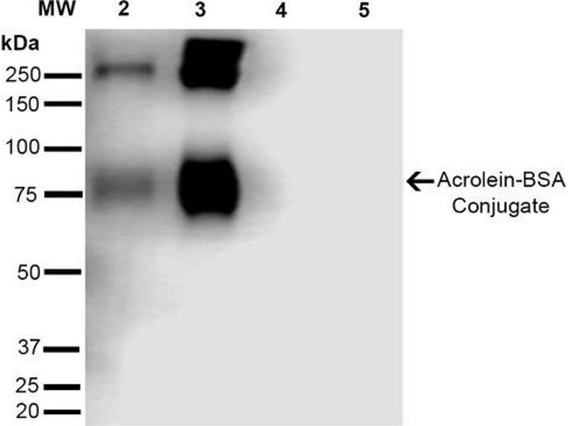
    A 1:1000 dilution of ABIN5067194 was sufficient for detection of Acrolein in 2 μg of Acrolein conjugated to BSA by ECL immunoblot analysis using Goat Anti-Mouse IgG:HRP as the secondary Antibody.

    Restrictions

    For Research Use only
  • Format

    Liquid

    Concentration

    1 mg/mL

    Buffer

    PBS pH 7.4, 50 % glycerol, 0.09 % Sodium azide, Storage buffer may change when conjugated

    Preservative

    Sodium azide

    Precaution of Use

    This product contains Sodium azide: a POISONOUS AND HAZARDOUS SUBSTANCE which should be handled by trained staff only.

    Storage

    4 °C

    Storage Comment

    Conjugated antibodies should be stored at 4°C
  • Target

    Acrolein (ACR)

    Alternative Name

    Acrolein

    Target Type

    Chemical

    Background

    Lipid peroxidation occurs when oxidizing agents attack carbon-carbon double bonds found in unsaturated lipids. In addition to membrane degradation, oxidation end-products have been found to damage cell viability through their mutagenic and toxic properties. These downstream functional consequences facilitate the development of disease and premature aging. Acrolein is an electrophilic conjugated aldehyde that is a terminal product of lipid peroxidation. Acrolein is highly mutagenic and reacts with nucleophilic functional groups in DNA and proteins such as cysteine, histidine, and lysine residues (1).
You are here:
Chat with us!