×
For best experience we recommend to activate Javascript in your browser.
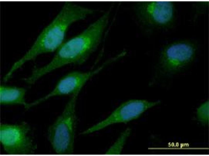
CTNNB1 antibody (AA 682-781)
The Mouse Monoclonal anti-CTNNB1 antibody (Clone 1C9) (ABIN514758) specifically detects CTNNB1 in WB, ELISA, IF, PLA and RNAi.
The antibody is reactive with Human samples.
Catalog No. ABIN514758
$489.14
Plus shipping costs $50.00
Delivery in 11 to 14 Business Days
Quick Overview for CTNNB1 antibody (AA 682-781) (ABIN514758)
Target
See all CTNNB1 Antibodies
CTNNB1
(Catenin (Cadherin-Associated Protein), beta 1, 88kDa (CTNNB1))
Reactivity
All reactivities for CTNNB1 antibodies
Human
Host
All hosts for CTNNB1 antibodies
Mouse
Clonality
All clonalities for CTNNB1 antibodies
Monoclonal
Conjugate
All conjugates for CTNNB1 antibodies
This CTNNB1 antibody is un-conjugated
Application
All applications for CTNNB1 antibodies
Western Blotting (WB), ELISA, Immunofluorescence (IF), Proximity Ligation Assay (PLA), RNA Interference (RNAi)
Clone
1C9
Product Details anti-CTNNB1 Antibody
(hide)
Binding Specificity
All epitopes for CTNNB1 antibodies
AA 682-781
Purpose
Mouse monoclonal antibody raised against a partial recombinant CTNNB1.
Sequence
LFRTEPMAWN ETADLGLDIG AQGEPLGYRQ DDPSYRSFHS GGYGQDALGM DPMMEHEMGG HHPGADYPVD GLPDLGHAQD LMDGLPPGDS NQLAWFDTDL
Cross-Reactivity
Human
Characteristics
Antibody Reactive Against Recombinant Protein.
Immunogen
CTNNB1 (AAH58926, 682 a.a. ~ 781 a.a) partial recombinant protein with GST tag. MW of the GST tag alone is 26 KDa.
Isotype
IgG2a
Alternatives
(show)
anti-Catenin (Cadherin-Associated Protein), beta 1, 88kDa (CTNNB1) (N-Term) antibody
KO Validated
CTNNB1
Reactivity: Human
WB, IHC, IF, FACS, IHC (p), IP, ICC, IHC (fro), ChIP, CUT&RUN, IHC (wm)
Host: Rabbit
Polyclonal
unconjugated
Application Details
(hide)
Application Notes
Optimal working dilution should be determined by the investigator.
Restrictions
For Research Use only
Handling
(hide)
Buffer
In 1x PBS, pH 7.4
Handling Advice
Aliquot to avoid repeated freezing and thawing.
Storage
-20 °C
Storage Comment
Store at -20°C or lower. Aliquot to avoid repeated freezing and thawing.
Target Details for CTNNB1
(hide)
Target
CTNNB1
(Catenin (Cadherin-Associated Protein), beta 1, 88kDa (CTNNB1))
Alternative Name
CTNNB1
Background
Full Gene Name: catenin (cadherin-associated protein), beta 1, 88 kDa Synonyms: CTNNB,DKFZp686D02253,FLJ25606,FLJ37923
Gene ID
1499
NCBI Accession
NM_001904
Pathways
WNT Signaling , Intracellular Steroid Hormone Receptor Signaling Pathway , Peptide Hormone Metabolism , Regulation of Muscle Cell Differentiation , Cell-Cell Junction Organization , Tube Formation , Maintenance of Protein Location , Signaling Events mediated by VEGFR1 and VEGFR2
Recently viewed
(hide)
You are here:
Homepage
anti-CTNNB1 antibody (AA 682-781) (ABIN514758)
Chat with us , powered by LiveChat