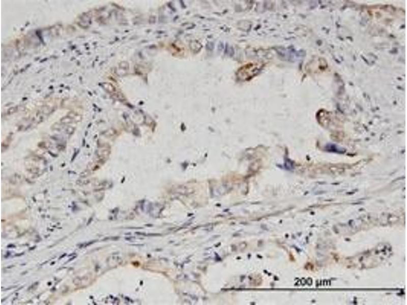
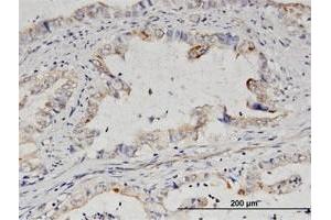
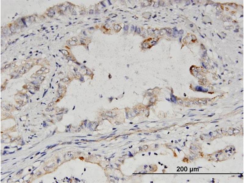
IMPA2 antibody (AA 1-288)
Quick Overview for IMPA2 antibody (AA 1-288) (ABIN517153)
Target
See all IMPA2 AntibodiesReactivity
Host
Clonality
Conjugate
Application
-
-
Binding Specificity
- AA 1-288
-
Purpose
- Mouse polyclonal antibody raised against a full-length human IMPA2 protein.
-
Sequence
- MKPSGEDQAA LAAGPWEECF QAAVQLALRA GQIIRKALTE EKRVSTKTSA ADLVTETDHL VEDLIISELR ERFPSHRFIA EEAAASGAKC VLTHSPTWII DPIDGTCNFV HRFPTVAVSI GFAVRQELEF GVIYHCTEER LYTGRRGRGA FCNGQRLRVS GETDLSKALV LTEIGPKRDP ATLKLFLSNM ERLLHAKAHG VRVIGSSTLA LCHLASGAAD AYYQFGLHCW DLAAATVIIR EAGGIVIDTS GGPLDLMACR VVAASTREMA MLIAQALQTI NYGRDDEK
-
Cross-Reactivity
- Human
-
Characteristics
- Antibody reactive against mammalian transfected lysate.
-
Immunogen
- IMPA2 (AAH17176, 1 a.a. ~ 288 a.a) full-length human protein.
-
-
-
-
Application Notes
- Optimal working dilution should be determined by the investigator.
-
Restrictions
- For Research Use only
-
-
-
Buffer
- In 1x PBS, pH 7.4
-
Handling Advice
- Aliquot to avoid repeated freezing and thawing.
-
Storage
- -20 °C
-
Storage Comment
- Store at -20°C or lower. Aliquot to avoid repeated freezing and thawing.
-
-
- IMPA2 (Inositol(myo)-1(or 4)-Monophosphatase 2 (IMPA2))
-
Alternative Name
- IMPA2
-
Background
-
Full Gene Name: inositol(myo)-1(or 4)-monophosphatase 2
Synonyms: -
Gene ID
- 3613
Target
-