Phone:
+1 877 302 8632
Fax:
+1 888 205 9894 (Toll-free)
E-Mail:
orders@antibodies-online.com

ELMOD3 antibody (AA 1-391)

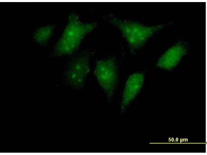
The Mouse Polyclonal anti-ELMOD3 antibody is suitable to detect ELMOD3 in samples from Human. It has been validated for WB and IF.
Catalog No. ABIN529598
$520.15
Plus shipping costs $50.00
50 μg
Shipping to: United States
Delivery in 11 to 14 Business Days

Quick Overview for ELMOD3 antibody (AA 1-391) (ABIN529598)

Target

See all ELMOD3 Antibodies
ELMOD3 (ELMO/CED-12 Domain Containing 3 (ELMOD3))

Reactivity

  • 13
  • 3
  • 3
  • 2
  • 2
  • 2
  • 2
  • 2
  • 1
  • 1
  • 1
Human

Host

  • 11
  • 2
Mouse

Clonality

  • 13
Polyclonal

Conjugate

  • 9
  • 2
  • 1
  • 1
This ELMOD3 antibody is un-conjugated

Application

  • 9
  • 5
  • 3
  • 1
Western Blotting (WB), Immunofluorescence (IF)
  • Binding Specificity

    • 5
    • 2
    • 1
    • 1
    • 1
    AA 1-391

    Purpose

    Mouse polyclonal antibody raised against a full-length human RBED1 protein.

    Sequence

    MNEKSCSFHS KEELRDGQGE RLSAGYSPSY DKDKSVLAFR GIPISELKNH GILQALTTEA YEWEPRVVST EVVRAQEEWE AVDTIQPETG SQASSEQPGQ LISFSEALQH FQTVDLSPFK KRIQPTIRRT GLAALRHYLF GPPKLHQRLR EERDLVLTIA QCGLDSQDPV HGRVLQTIYK KLTGSKFDCA LHGNHWEDLG FQGANPATDL RGAGFLALLH LLYLVMDSKT LPMAQEIFRL SRHHIQQFPF CLMSVNITHI AIQALREECL SRECNRQQKV IPVVNSFYAA TFLHLAHVWR TQRKTISDSG FVLKGVLFLL GRPRLNAQCP RSREPKVVAR LVLAAVLPHP HFLKFQLTKI SITHPLESAS SPFSALTVAL FWSYTYDKHI F

    Cross-Reactivity

    Human

    Characteristics

    Antibody reactive against mammalian transfected lysate.

    Immunogen

    RBED1 (NP_115589.2, 1 a.a. ~ 391 a.a) full-length human protein.
  • Application Notes

    Optimal working dilution should be determined by the investigator.

    Restrictions

    For Research Use only
  • Buffer

    In 1x PBS, pH 7.4

    Handling Advice

    Aliquot to avoid repeated freezing and thawing.

    Storage

    -20 °C

    Storage Comment

    Store at -20°C or lower. Aliquot to avoid repeated freezing and thawing.
  • Target

    ELMOD3 (ELMO/CED-12 Domain Containing 3 (ELMOD3))

    Alternative Name

    ELMOD3

    Background

    Full Gene Name: ELMO/CED-12 domain containing 3
    Synonyms: FLJ21977,FLJ35601,MGC111036,RBED1,RBM29

    Gene ID

    84173

    NCBI Accession

    NM_032213
You are here:
Chat with us!