Phone:
+1 877 302 8632
Fax:
+1 888 205 9894 (Toll-free)
E-Mail:
orders@antibodies-online.com

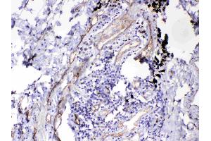
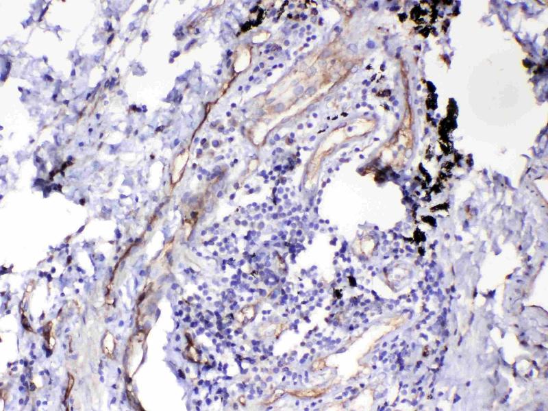
HOMER3 antibody (AA 282-360)

This Rabbit Polyclonal antibody specifically detects HOMER3 in WB and IHC. It exhibits reactivity toward Human, Mouse and Rat.
Catalog No. ABIN5518917
$370.00
Plus shipping costs $50.00
100 μg
Shipping to: United States
Delivery in 4 to 7 Business Days

Quick Overview for HOMER3 antibody (AA 282-360) (ABIN5518917)

Target

See all HOMER3 Antibodies
HOMER3 (Homer Homolog 3 (Drosophila) (HOMER3))

Reactivity

  • 42
  • 30
  • 9
  • 4
  • 4
  • 3
  • 2
  • 2
  • 2
  • 1
  • 1
Human, Mouse, Rat

Host

  • 42
  • 3
Rabbit

Clonality

  • 44
  • 1
Polyclonal

Conjugate

  • 22
  • 4
  • 3
  • 3
  • 1
  • 1
  • 1
  • 1
  • 1
  • 1
  • 1
  • 1
  • 1
  • 1
  • 1
  • 1
  • 1
This HOMER3 antibody is un-conjugated

Application

  • 41
  • 15
  • 13
  • 13
  • 7
  • 6
  • 3
  • 3
  • 3
  • 2
  • 1
  • 1
  • 1
Western Blotting (WB), Immunohistochemistry (IHC)
  • Binding Specificity

    • 15
    • 7
    • 6
    • 2
    • 2
    • 2
    • 2
    • 1
    • 1
    • 1
    • 1
    • 1
    • 1
    • 1
    • 1
    AA 282-360

    Purpose

    Anti-HOMER3 Antibody

    Cross-Reactivity (Details)

    No cross-reactivity with other proteins.

    Characteristics

    Anti-HOMER3 Antibody (ABIN5518917). Tested in IHC, WB applications. This antibody reacts with Human, Mouse, Rat. This is a premium antibody that guarantees superior quality, high affinity, and strong signals with minimal background in Western blot applications.

    Purification

    Immunogen affinity purified.

    Immunogen

    E. coli-derived human HOMER3 recombinant protein (Position: R282-A360). Human HOMER3 shares 88.6% and 89.9% amino acid (aa) sequence identity with mouse and rat HOMER3, respectively.

    Isotype

    IgG
  • Application Notes

    Western blot, 0.1-0.5 μg/mL, Human, Mouse, Rat
    Immunohistochemistry (Paraffin-embedded Section), 0.5-1 μg/mL, Human

    Comment

    We recommend Enhanced Chemiluminescent Kit with anti-Rabbit IgG (ABIN921124) for Western blot, and HRP Conjugated anti-Rabbit IgG Super Vision Assay Kit (SV0002-1) for IHC(P).

    Restrictions

    For Research Use only
  • Format

    Lyophilized

    Reconstitution

    Add 0.2 mL of distilled water will yield a concentration of 500 μg/mL.

    Concentration

    500 μg/mL

    Buffer

    Each vial contains 5 mg BSA, 0.9 mg NaCl, 0.2 mg Na2HPO4, 0.05 mg Sodium azide.

    Preservative

    Sodium azide

    Precaution of Use

    This product contains Sodium azide: a POISONOUS AND HAZARDOUS SUBSTANCE which should be handled by trained staff only.

    Storage

    4 °C,-20 °C

    Storage Comment

    Store at -20°C for one year from date of receipt. After reconstitution, at 4°C for one month.
    It can also be aliquotted and stored frozen at -20°C for six months. Avoid repeated freeze-thaw cycles.
  • Target

    HOMER3 (Homer Homolog 3 (Drosophila) (HOMER3))

    Alternative Name

    HOMER3

    Background

    Synonyms: Homer protein homolog 3,Homer-3,HOMER3,

    Tissue Specificity: Detected in heart, brain, placenta, lung, liver, skeletal muscle, kidney and pancreas.

    Background: Homer protein homolog 3 is a protein that in humans is encoded by the HOMER3 gene. This gene encodes a member of the HOMER family of postsynaptic density scaffolding proteins that share a similar domain structure consisting of an N-terminal Enabled/vasodilator-stimulated phosphoprotein homology 1 domain which mediates protein-protein interactions, and a carboxy-terminal coiled-coil domain and two leucine zipper motifs that are involved in self-oligomerization. The encoded protein binds numerous other proteins including group I metabotropic glutamate receptors, inositol 1,4,5-trisphosphate receptors and amyloid precursor proteins and has been implicated in diverse biological functions such as neuronal signaling, T-cell activation and trafficking of amyloid beta peptides.

    Molecular Weight

    45 kDa

    Gene ID

    9454
You are here:
Chat with us!