Phone:
+1 877 302 8632
Fax:
+1 888 205 9894 (Toll-free)
E-Mail:
orders@antibodies-online.com

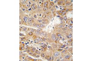
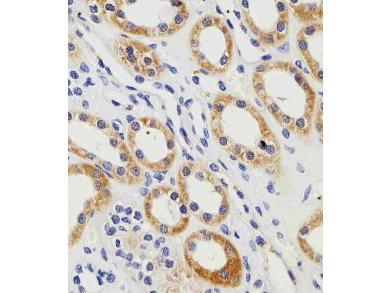
PGK1 antibody (AA 117-145)

The Rabbit Polyclonal anti-PGK1 antibody (ABIN5531821) specifically detects PGK1 in WB, IF, IHC (p) and FACS. The antibody is reactive with Human and Mouse samples.
Catalog No. ABIN5531821
$713.63
Plus shipping costs $50.00
400 μL
Shipping to: United States
Delivery in 2 to 4 Business Days

Quick Overview for PGK1 antibody (AA 117-145) (ABIN5531821)

Target

See all PGK1 Antibodies
PGK1 (Phosphoglycerate Kinase 1 (PGK1))

Reactivity

  • 98
  • 62
  • 42
  • 5
  • 5
  • 4
  • 4
  • 4
  • 4
  • 4
  • 3
  • 3
  • 2
  • 1
  • 1
Human, Mouse

Host

  • 88
  • 13
  • 1
  • 1
Rabbit

Clonality

  • 59
  • 41
Polyclonal

Conjugate

  • 56
  • 8
  • 4
  • 4
  • 4
  • 4
  • 4
  • 4
  • 4
  • 3
  • 2
  • 2
  • 2
  • 2
This PGK1 antibody is un-conjugated

Application

  • 84
  • 44
  • 35
  • 34
  • 26
  • 14
  • 14
  • 4
  • 4
  • 2
  • 2
  • 2
  • 1
  • 1
  • 1
Western Blotting (WB), Immunofluorescence (IF), Immunohistochemistry (Paraffin-embedded Sections) (IHC (p)), Flow Cytometry (FACS)
  • Binding Specificity

    • 7
    • 7
    • 5
    • 5
    • 4
    • 4
    • 3
    • 3
    • 2
    • 2
    • 2
    • 2
    • 2
    • 1
    • 1
    • 1
    • 1
    • 1
    • 1
    • 1
    AA 117-145

    Purification

    This antibody is prepared by Saturated Ammonium Sulfate (SAS) precipitation followed by dialysis

    Immunogen

    This PGK1 antibody is generated from rabbits immunized with a KLH conjugated synthetic peptide between 117-145 amino acids from the Central region of human PGK1.

    Isotype

    Ig Fraction
  • Application Notes

    For IHC-P starting dilution is: 1:100

    For WB starting dilution is: 1:1000

    For IF starting dilution is: 1:10~50

    For FACS starting dilution is: 1:10~50

    Restrictions

    For Research Use only
  • Format

    Liquid

    Concentration

    2 mg/mL

    Buffer

    Supplied in PBS with 0.09 % (W/V) sodium azide.

    Preservative

    Sodium azide

    Precaution of Use

    This product contains Sodium azide: a POISONOUS AND HAZARDOUS SUBSTANCE which should be handled by trained staff only.

    Storage

    4 °C,-20 °C

    Storage Comment

    Store at 4°C for three months and -20°C, stable for up to one year. As with all antibodies care should be taken to avoid repeated freeze thaw cycles. Antibodies should not be exposed to prolonged high temperatures.
  • Target

    PGK1 (Phosphoglycerate Kinase 1 (PGK1))

    Alternative Name

    PGK1

    Background

    Also known as ATP:3-phosphoglycerate 1-phosphotransferase (EC 2.7.2.3), this major enzyme in glycolysis catalyzes the reversible conversion of 1,3-diphosphoglycerate to 3-phosphoglycerate, generating one molecule of ATP. New blood vessel formation or angiogenesis is critical for tumor expansion and metastasis. Lay et al. (2000) showed that the plasmin reductase isolated from conditioned medium of fibrosarcoma cells is the glycolytic enzyme phosphoglycerate kinase. They concluded that phosphoglycerate kinase not only functions in glycolysis but is secreted by tumor cells and participates in the angiogenic process as a disulfide reductase.

    Molecular Weight

    45 kDa

    Gene ID

    5230

    UniProt

    P00558

    Pathways

    Cellular Glucan Metabolic Process
You are here:
Chat with us!