Phone:
+1 877 302 8632
Fax:
+1 888 205 9894 (Toll-free)
E-Mail:
orders@antibodies-online.com

MIA antibody (Internal Region)

The Goat Polyclonal anti-MIA antibody is suitable to detect MIA in samples from Human. It has been validated for ELISA, IHC and WB.
Catalog No. ABIN5539869
$488.25
Plus shipping costs $50.00
100 μg
Shipping to: United States
Delivery in 1 to 3 Business Days

Quick Overview for MIA antibody (Internal Region) (ABIN5539869)

Target

See all MIA Antibodies
MIA (Melanoma Inhibitory Activity (MIA))

Reactivity

  • 35
  • 14
  • 9
Human

Host

  • 39
  • 2
Goat

Clonality

  • 39
  • 2
Polyclonal

Conjugate

  • 23
  • 5
  • 3
  • 2
  • 1
  • 1
  • 1
  • 1
  • 1
  • 1
  • 1
  • 1
This MIA antibody is un-conjugated

Application

  • 22
  • 20
  • 14
  • 7
  • 6
  • 6
  • 3
  • 2
  • 1
  • 1
ELISA, Immunohistochemistry (IHC), Western Blotting (WB)

Grade

Verified
  • Binding Specificity

    • 5
    • 3
    • 2
    • 2
    • 1
    • 1
    • 1
    • 1
    • 1
    Internal Region

    Purpose

    MIA / CD-RAP

    Sequence

    PKLADRKLCA DQE

    Specificity

    The immunizing peptide represents the N terminus of the mature protein. Reported variants represent identical protein: NP_006524.1, NP_001189482.1,

    Cross-Reactivity

    Human

    Purification

    Purified from goat serum by ammonium sulphate precipitation followed by antigen affinity chromatography using the immunizing peptide.

    Isotype

    IgG
  • Application Notes

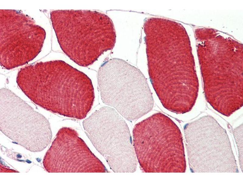
    Immunohistochemistry: Paraffin embedded Human Spleen and Skeletal Muscle. Recommended concentration: 5 μg/mL.

    Western Blot: Approx 14 kDa band observed in Human Glioma lysates (calculated MW of 14.5 kDa according to NP_006524.1). Recommended concentration: 1-3 μg/mL. Primary incubation was 1 hour.

    Peptide ELISA: antibody detection limit dilution 1:64000.

    Restrictions

    For Research Use only
  • Format

    Liquid

    Concentration

    0.5 mg/mL

    Buffer

    Supplied at 0.5 mg/mL in Tris saline, 0.02 % sodium azide, pH 7.3 with 0.5 % bovine serum albumin.

    Preservative

    Sodium azide

    Precaution of Use

    This product contains Sodium azide: a POISONOUS AND HAZARDOUS SUBSTANCE which should be handled by trained staff only.

    Handling Advice

    Minimize freezing and thawing.

    Storage

    -20 °C

    Storage Comment

    Aliquot and store at -20°C, with minimal freeze/thawing. A working aliquot may be refrigerated at 4°C for a few weeks and still remain viable.
  • Target

    MIA (Melanoma Inhibitory Activity (MIA))

    Alternative Name

    MIA

    Background

    MIA, melanoma inhibitory activity, CD-RAP, melanoma-derived growth regulatory protein

    Gene ID

    8190

    NCBI Accession

    NP_006524
You are here:
Chat with us!