Phone:
+1 877 302 8632
Fax:
+1 888 205 9894 (Toll-free)
E-Mail:
orders@antibodies-online.com

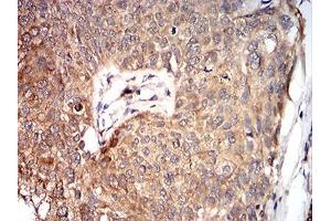
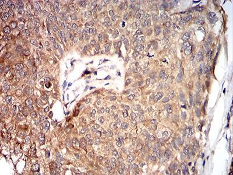
VP2 (AA 296-438) antibody

The Mouse Monoclonal anti-VP2 antibody (Clone 4E5A4) (ABIN5542303) specifically detects VP2 in ELISA, WB, FACS, ICC and IHC. The antibody is reactive with Human samples.
Catalog No. ABIN5542303
$473.33
Plus shipping costs $50.00
100 μL
Shipping to: United States
Delivery in 3 to 5 Business Days

Quick Overview for VP2 (AA 296-438) antibody (ABIN5542303)

Target

VP2

Reactivity

Human

Host

  • 1
Mouse

Clonality

  • 1
Monoclonal

Conjugate

  • 1
Un-conjugated

Application

ELISA, Western Blotting (WB), Flow Cytometry (FACS), Immunocytochemistry (ICC), Immunohistochemistry (IHC)

Clone

4E5A4
  • Binding Specificity

    • 1
    • 1
    AA 296-438

    Purpose

    VP2 Antibody

    Purification

    Purified antibody

    Immunogen

    Purified recombinant fragment of human VP2 (AA: 296-438) expressed in E. Coli.

    Isotype

    IgG1
  • Application Notes

    ELISA: 1/10000

    FCM: 1/200 - 1/400

    ICC: 1/200 - 1/1000

    Restrictions

    For Research Use only
  • Format

    Liquid

    Buffer

    Purified antibody in PBS with 0.05 % sodium azide.

    Preservative

    Sodium azide

    Precaution of Use

    This product contains Sodium azide: a POISONOUS AND HAZARDOUS SUBSTANCE which should be handled by trained staff only.

    Storage

    4 °C,-20 °C

    Storage Comment

    Store at 4°C short term. Aliquot and store at -20°C long term. Avoid freeze/thaw cycles.
  • Target

    VP2

    Target Type

    Viral Protein

    Background

    Human parvovirus B19 (B19) is an erythrovirus responsible for acute and chronic anemia in susceptible patients. The virus replicates, both in vivo and in vitro, in the nucleus of the erythroid progenitors. The viral capsid is composed of two viral proteins, VP1 and VP2, the latter making up almost 96 % of the viral capsid proteins

    Molecular Weight

    61 kDa

    Gene ID

    11293627
You are here:
Chat with us!