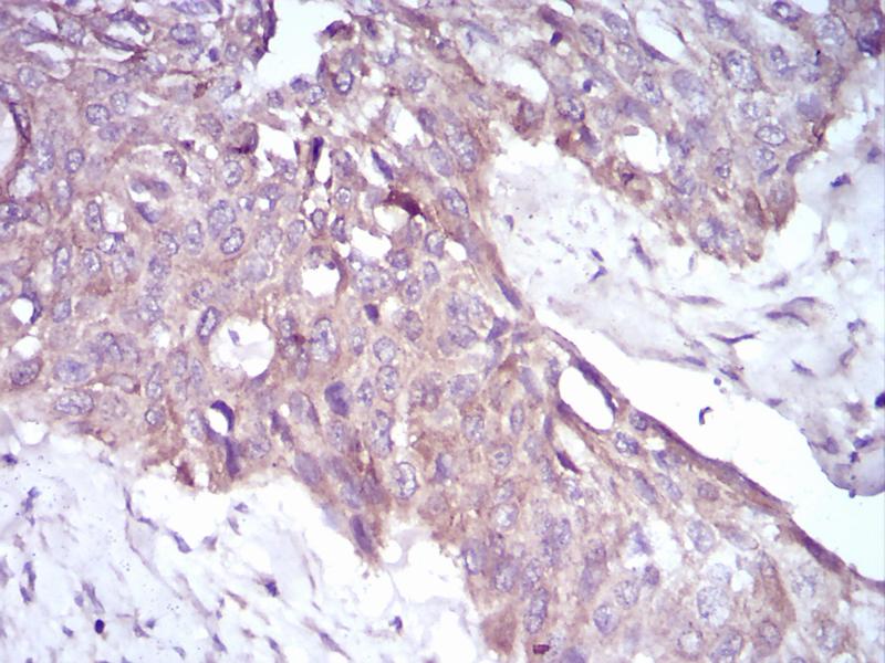
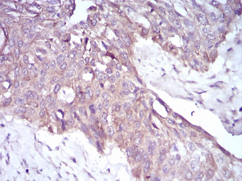
PKHD1 antibody (AA 3878-4060)
Quick Overview for PKHD1 antibody (AA 3878-4060) (ABIN5542352)
Target
See all PKHD1 AntibodiesReactivity
Host
Clonality
Conjugate
Application
Clone
-
-
Binding Specificity
- AA 3878-4060
-
Purpose
- PKHD1 Antibody
-
Purification
- Purified antibody
-
Immunogen
- Purified recombinant fragment of mouse PKHD1 (AA: 3878-4060) expressed in E. Coli.
-
Isotype
- IgG1
-
-
-
-
Application Notes
-
ELISA: 1/10000
FCM: 1/200 - 1/400
ICC: 1/200 - 1/1000
-
Restrictions
- For Research Use only
-
-
-
Format
- Liquid
-
Buffer
- Purified antibody in PBS with 0.05 % sodium azide.
-
Preservative
- Sodium azide
-
Precaution of Use
- This product contains Sodium azide: a POISONOUS AND HAZARDOUS SUBSTANCE which should be handled by trained staff only.
-
Storage
- 4 °C,-20 °C
-
Storage Comment
- Store at 4°C short term. Aliquot and store at -20°C long term. Avoid freeze/thaw cycles.
-
-
- PKHD1 (Polycystic Kidney and Hepatic Disease 1 Protein (PKHD1))
-
Alternative Name
- PKHD1
-
Background
-
Mutations in the PKHD1 gene, which encodes fibrocystin, cause autosomal recessive polycystic kidney disease (ARPKD). Unfortunately, the lack of specific antibodies to the mouse protein impairs the study of splicing, post-translational processing, shedding, and temporal and spatial expression of endogenous fibrocystin at the cellular and subcellular level.
-
Molecular Weight
- 445 kDa
-
UniProt
- E9PZ36
Target
-