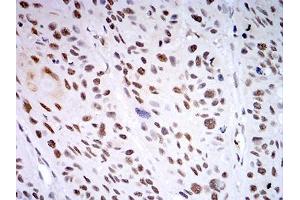
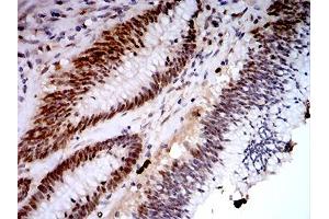
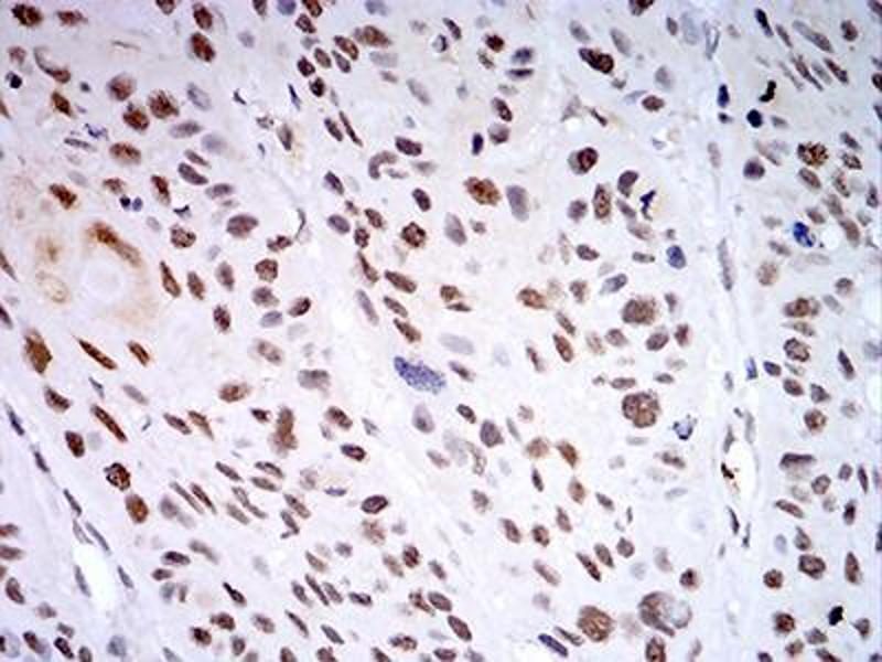
LSD1 antibody (AA 55-263)
Quick Overview for LSD1 antibody (AA 55-263) (ABIN5542576)
Target
See all LSD1 (KDM1A) AntibodiesReactivity
Host
Clonality
Conjugate
Application
Clone
-
-
Binding Specificity
- AA 55-263
-
Purpose
- KDM1A Antibody
-
Purification
- Purified antibody
-
Immunogen
- Purified recombinant fragment of human KDM1A (AA: 55-263) expressed in E. Coli.
-
Isotype
- IgG1
-
-
-
-
Application Notes
-
ELISA: 1/10000
FCM: 1/200 - 1/400
ICC: 1/200 - 1/1000
-
Restrictions
- For Research Use only
-
-
-
Format
- Liquid
-
Buffer
- Purified antibody in PBS with 0.05 % sodium azide.
-
Preservative
- Sodium azide
-
Precaution of Use
- This product contains Sodium azide: a POISONOUS AND HAZARDOUS SUBSTANCE which should be handled by trained staff only.
-
Storage
- 4 °C,-20 °C
-
Storage Comment
- Store at 4°C short term. Aliquot and store at -20°C long term. Avoid freeze/thaw cycles.
-
-
- LSD1 (KDM1A) (Lysine (K)-Specific Demethylase 1A (KDM1A))
-
Alternative Name
- KDM1A
-
Background
-
This gene encodes a nuclear protein containing a SWIRM domain, a FAD-binding motif, and an amine oxidase domain. This protein is a component of several histone deacetylase complexes, though it silences genes by functioning as a histone demethylase. Alternative splicing results in multiple transcript variants.
-
Molecular Weight
- 93 kDa
-
UniProt
- O60341
-
Pathways
- Regulation of Hormone Metabolic Process, Regulation of Hormone Biosynthetic Process, Negative Regulation of intrinsic apoptotic Signaling, Warburg Effect
Target
-