Phone:
+1 877 302 8632
Fax:
+1 888 205 9894 (Toll-free)
E-Mail:
orders@antibodies-online.com

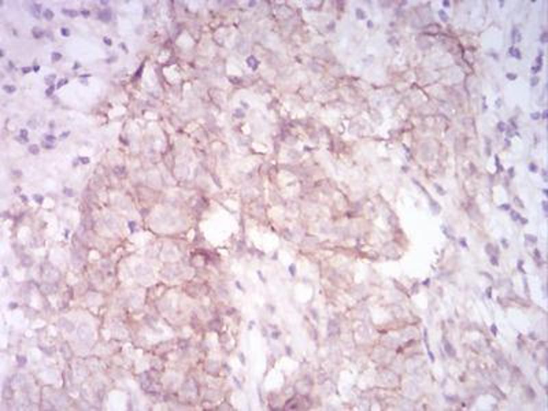
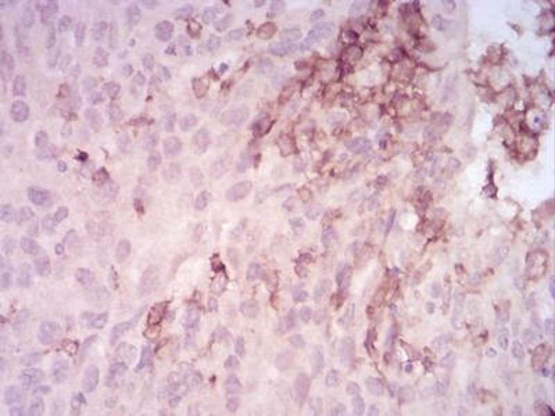
MMP14 antibody (AA 112-246)

The Mouse Monoclonal anti-MMP14 antibody is suitable to detect MMP14 in samples from Human. It has been validated for IHC, ELISA and FACS.
Catalog No. ABIN5542659
$473.33
Plus shipping costs $50.00
100 μL
Shipping to: United States
Delivery in 3 to 5 Business Days

Quick Overview for MMP14 antibody (AA 112-246) (ABIN5542659)

Target

See all MMP14 Antibodies
MMP14 (Matrix Metallopeptidase 14 (Membrane-inserted) (MMP14))

Reactivity

  • 109
  • 57
  • 55
  • 3
  • 2
  • 2
  • 2
  • 1
  • 1
  • 1
  • 1
  • 1
Human

Host

  • 96
  • 12
  • 2
  • 1
Mouse

Clonality

  • 66
  • 45
Monoclonal

Conjugate

  • 58
  • 9
  • 4
  • 4
  • 4
  • 4
  • 4
  • 4
  • 4
  • 4
  • 2
  • 2
  • 2
  • 2
  • 2
  • 2
This MMP14 antibody is un-conjugated

Application

  • 78
  • 49
  • 42
  • 22
  • 16
  • 15
  • 11
  • 9
  • 3
  • 1
  • 1
  • 1
  • 1
Immunohistochemistry (IHC), ELISA, Flow Cytometry (FACS)

Clone

6A11D1
  • Binding Specificity

    • 10
    • 8
    • 8
    • 5
    • 4
    • 2
    • 2
    • 2
    • 2
    • 2
    • 2
    • 2
    • 1
    • 1
    • 1
    • 1
    • 1
    • 1
    • 1
    • 1
    • 1
    • 1
    • 1
    • 1
    • 1
    • 1
    • 1
    • 1
    • 1
    • 1
    AA 112-246

    Purpose

    MMP14 Antibody

    Purification

    Purified antibody

    Immunogen

    Purified recombinant fragment of human MMP14 (AA: 112-246) expressed in E. Coli.

    Isotype

    IgG1
  • Application Notes

    ELISA: 1/10000

    FCM: 1/200 - 1/400

    Restrictions

    For Research Use only
  • Format

    Liquid

    Buffer

    Purified antibody in PBS with 0.05 % sodium azide.

    Preservative

    Sodium azide

    Precaution of Use

    This product contains Sodium azide: a POISONOUS AND HAZARDOUS SUBSTANCE which should be handled by trained staff only.

    Storage

    4 °C,-20 °C

    Storage Comment

    Store at 4°C short term. Aliquot and store at -20°C long term. Avoid freeze/thaw cycles.
  • Target

    MMP14 (Matrix Metallopeptidase 14 (Membrane-inserted) (MMP14))

    Alternative Name

    MMP14

    Background

    Proteins of the matrix metalloproteinase (MMP) family are involved in the breakdown of extracellular matrix in normal physiological processes, such as embryonic development, reproduction, and tissue remodeling, as well as in disease processes, such as arthritis and metastasis. Most MMP's are secreted as inactive proproteins which are activated when cleaved by extracellular proteinases. However, the protein encoded by this gene is a member of the membrane-type MMP (MT-MMP) subfamily, each member of this subfamily contains a potential transmembrane domain suggesting that these proteins are expressed at the cell surface rather than secreted. This protein activates MMP2 protein, and this activity may be involved in tumor invasion.

    Molecular Weight

    65.9 kDa

    Gene ID

    4323

    UniProt

    P50281

    Pathways

    Autophagy
You are here:
Chat with us!