Phone:
+1 877 302 8632
Fax:
+1 888 205 9894 (Toll-free)
E-Mail:
orders@antibodies-online.com

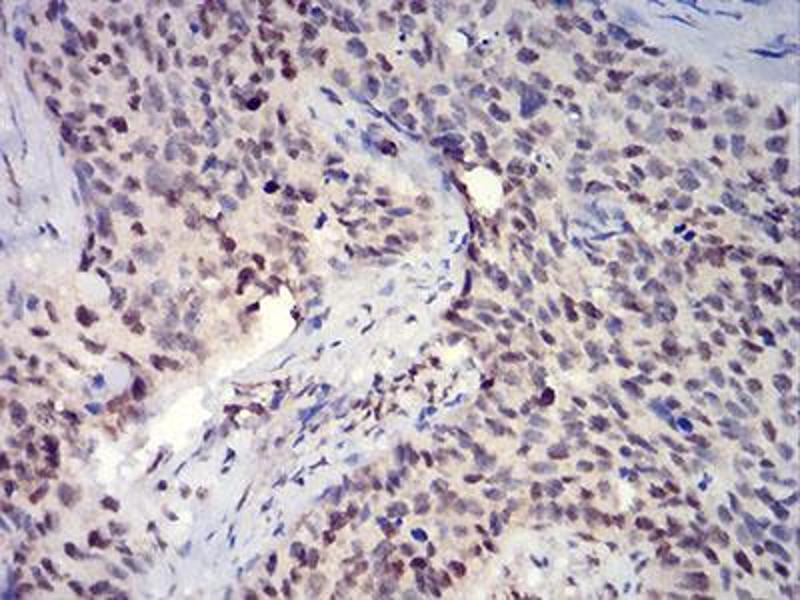
Histone Cluster 2, H3c (HIST2H3C) (acLys27) antibody

The Mouse Monoclonal anti-Histone Cluster 2, H3c antibody is suitable to detect Histone Cluster 2, H3c in samples from Human. It has been validated for IHC, ELISA, FACS and WB.
Catalog No. ABIN5542710
$473.33
Plus shipping costs $50.00
100 μL
Shipping to: United States
Delivery in 3 to 5 Business Days

Quick Overview for Histone Cluster 2, H3c (HIST2H3C) (acLys27) antibody (ABIN5542710)

Target

Histone Cluster 2, H3c (HIST2H3C)

Reactivity

Human

Host

  • 3
  • 1
Mouse

Clonality

  • 3
  • 1
Monoclonal

Conjugate

  • 4
Un-conjugated

Application

  • 4
  • 3
  • 3
  • 3
  • 1
  • 1
  • 1
  • 1
Immunohistochemistry (IHC), ELISA, Flow Cytometry (FACS), Western Blotting (WB)

Clone

6E7A9
  • Binding Specificity

    • 2
    • 1
    • 1
    acLys27

    Purpose

    HIST2H3C (27Ac) Antibody

    Purification

    Purified antibody

    Immunogen

    Synthesized peptide of human HIST2H3C (AA: ATKAARK(Ac)SAPATGGV).

    Isotype

    IgG1
  • Application Notes

    ELISA: 1/10000

    FCM: 1/200 - 1/400

    Restrictions

    For Research Use only
  • Format

    Liquid

    Buffer

    Purified antibody in PBS with 0.05 % sodium azide.

    Preservative

    Sodium azide

    Precaution of Use

    This product contains Sodium azide: a POISONOUS AND HAZARDOUS SUBSTANCE which should be handled by trained staff only.

    Storage

    4 °C,-20 °C

    Storage Comment

    Store at 4°C short term. Aliquot and store at -20°C long term. Avoid freeze/thaw cycles.
  • Target

    Histone Cluster 2, H3c (HIST2H3C)

    Alternative Name

    HIST2H3C

    Background

    Histones are basic nuclear proteins that are responsible for the nucleosome structure of the chromosomal fiber in eukaryotes. This structure consists of approximately 146 bp of DNA wrapped around a nucleosome, an octamer composed of pairs of each of the four core histones (H2A, H2B, H3, and H4). The chromatin fiber is further compacted through the interaction of a linker histone, H1, with the DNA between the nucleosomes to form higher order chromatin structures. This gene is intronless and encodes a member of the histone H3 family. Transcripts from this gene lack polyA tails, instead, they contain a palindromic termination element. This gene is found in a histone cluster on chromosome 1. This gene is one of four histone genes in the cluster that are duplicated, this record represents the telomeric copy.

    Molecular Weight

    15.4 kDa

    Gene ID

    126961

    UniProt

    Q71DI3
You are here:
Chat with us!