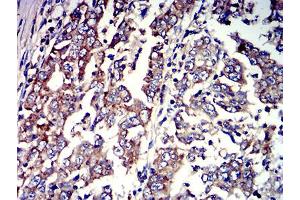
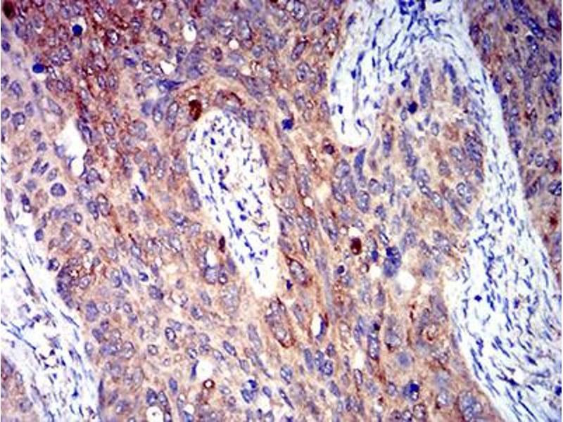
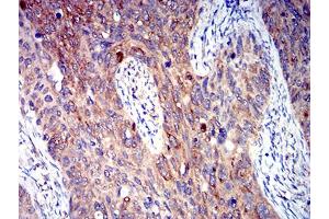
P2RY4 antibody
Quick Overview for P2RY4 antibody (ABIN5611351)
Target
See all P2RY4 AntibodiesReactivity
Host
Clonality
Conjugate
Application
Clone
-
-
Purpose
- P2RY4 Antibody
-
Purification
- Purified antibody
-
Immunogen
- Purified recombinant fragment of human P2RY4 (AA: mix) expressed in E. Coli.
-
Isotype
- IgG1
-
-
-
-
Application Notes
-
ELISA: 1/10000
FCM: 1/200 - 1/400
ICC: 1/100 - 1/500
-
Restrictions
- For Research Use only
-
-
-
Format
- Liquid
-
Buffer
- Purified antibody in PBS with 0.05 % sodium azide.
-
Preservative
- Sodium azide
-
Precaution of Use
- This product contains Sodium azide: a POISONOUS AND HAZARDOUS SUBSTANCE which should be handled by trained staff only.
-
Storage
- 4 °C,-20 °C
-
Storage Comment
- Store at 4°C short term. Aliquot and store at -20°C long term. Avoid freeze/thaw cycles.
-
-
- P2RY4 (Pyrimidinergic Receptor P2Y, G-Protein Coupled, 4 (P2RY4))
-
Alternative Name
- P2RY4
-
Background
-
The product of this gene belongs to the family of G-protein coupled receptors. This family has several receptor subtypes with different pharmacological selectivity, which overlaps in some cases, for various adenosine and uridine nucleotides. This receptor is responsive to uridine nucleotides, partially responsive to ATP, and not responsive to ADP.
-
Molecular Weight
- 41 kDa
Target
-