Phone:
+1 877 302 8632
Fax:
+1 888 205 9894 (Toll-free)
E-Mail:
orders@antibodies-online.com

Separase antibody (AA 586-701)

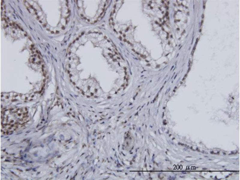
Cited in 7+ publications. The Mouse Monoclonal anti-Separase antibody (Clone 6H6) (ABIN564183) specifically detects Separase in ELISA, WB and IHC (p). The antibody is reactive with Human samples.
Catalog No. ABIN564183
$520.15
Plus shipping costs $50.00
100 μg
Shipping to: United States
Delivery in 11 to 14 Business Days

Quick Overview for Separase antibody (AA 586-701) (ABIN564183)

Target

See all Separase (ESPL1) Antibodies
Separase (ESPL1) (Extra Spindle Poles Like 1 (ESPL1))

Reactivity

  • 94
  • 11
  • 1
Human

Host

  • 90
  • 4
  • 1
Mouse

Clonality

  • 91
  • 4
Monoclonal

Conjugate

  • 31
  • 9
  • 9
  • 8
  • 5
  • 5
  • 2
  • 2
  • 2
  • 2
  • 2
  • 2
  • 2
  • 2
  • 2
  • 2
  • 2
  • 1
  • 1
  • 1
  • 1
  • 1
  • 1
This Separase antibody is un-conjugated

Application

  • 49
  • 40
  • 26
  • 26
  • 20
  • 14
  • 13
  • 7
  • 6
  • 2
  • 1
  • 1
ELISA, Western Blotting (WB), Immunohistochemistry (Paraffin-embedded Sections) (IHC (p))

Clone

6H6
  • Binding Specificity

    • 18
    • 15
    • 15
    • 10
    • 6
    • 6
    • 6
    • 5
    • 2
    • 2
    • 2
    • 1
    • 1
    • 1
    • 1
    • 1
    • 1
    AA 586-701

    Purpose

    Mouse monoclonal antibody raised against a partial recombinant ESPL1.

    Sequence

    REELQAYKAV RADTGQERFN IICDLLELSP EETPAGAWAR ATHLVELAQV LCYHDFTQQT NCSALDAIRE ALQLLDSVRP EAQARDQLLD DKAQALLWLY ICTLEAKIQE GIERDR

    Cross-Reactivity

    Human

    Characteristics

    Antibody Reactive Against Recombinant Protein.

    Immunogen

    ESPL1 (NP_036423, 586 a.a. ~ 701 a.a) partial recombinant protein with GST tag. MW of the GST tag alone is 26 KDa.

    Isotype

    IgG2a
  • Application Notes

    Optimal working dilution should be determined by the investigator.

    Restrictions

    For Research Use only
  • Buffer

    In 1x PBS, pH 7.4

    Handling Advice

    Aliquot to avoid repeated freezing and thawing.

    Storage

    -20 °C

    Storage Comment

    Store at -20°C or lower. Aliquot to avoid repeated freezing and thawing.
  • Mukherjee, Ge, Zhang, Edwards, Sumazin, Sharan, Rao, Medina, Pati: "MMTV-Espl1 transgenic mice develop aneuploid, estrogen receptor alpha (ER?)-positive mammary adenocarcinomas." in: Oncogene, Vol. 33, Issue 48, pp. 5511-22, (2014) (PubMed).

    Mukherjee, Byrd, Brawley, Bielamowicz, Li, Merchant, Maitra, Sumazin, Fuller, Kew, Sun, Powell, Ahmed, Zhang, Pati: "Overexpression and constitutive nuclear localization of cohesin protease Separase protein correlates with high incidence of relapse and reduced overall survival in glioblastoma multiforme." in: Journal of neuro-oncology, Vol. 119, Issue 1, pp. 27-35, (2014) (PubMed).

    Zhang, Scorsone, Ge, Kaffes, Dobrolecki, Mukherjee, Lewis, Berg, Stephan, Pati: "Identification and Characterization of Separase Inhibitors (Sepins) for Cancer Therapy." in: Journal of biomolecular screening, Vol. 19, Issue 6, pp. 878-889, (2014) (PubMed).

    Mukherjee, Ge, Zhang, Huang, Nakamura, Minor, Fofanov, Rao, Herron, Pati: "Separase loss of function cooperates with the loss of p53 in the initiation and progression of T- and B-cell lymphoma, leukemia and aneuploidy in mice." in: PLoS ONE, Vol. 6, Issue 7, pp. e22167, (2011) (PubMed).

    Panigrahi, Zhang, Mao, Pati: "Calpain-1 cleaves Rad21 to promote sister chromatid separation." in: Molecular and cellular biology, Vol. 31, Issue 21, pp. 4335-47, (2011) (PubMed).

    Meyer, Fofanov, Panigrahi, Merchant, Zhang, Pati: "Overexpression and mislocalization of the chromosomal segregation protein separase in multiple human cancers." in: Clinical cancer research : an official journal of the American Association for Cancer Research, Vol. 15, Issue 8, pp. 2703-10, (2009) (PubMed).

    Zhang, Ge, Meyer, Sethi, Basu, Pradhan, Zhao, Li, Cai, El-Naggar, Baladandayuthapani, Kittrell, Rao, Medina, Pati: "Overexpression of Separase induces aneuploidy and mammary tumorigenesis." in: Proceedings of the National Academy of Sciences of the United States of America, Vol. 105, Issue 35, pp. 13033-8, (2008) (PubMed).

  • Target

    Separase (ESPL1) (Extra Spindle Poles Like 1 (ESPL1))

    Alternative Name

    ESPL1

    Background

    Full Gene Name: extra spindle pole bodies homolog 1 (S. cerevisiae)
    Synonyms: ESP1,FLJ46492,KIAA0165,SEPARASE,SEPARIN

    Gene ID

    9700

    NCBI Accession

    NM_012291
You are here:
Chat with us!