Phone:
+1 877 302 8632
Fax:
+1 888 205 9894 (Toll-free)
E-Mail:
orders@antibodies-online.com

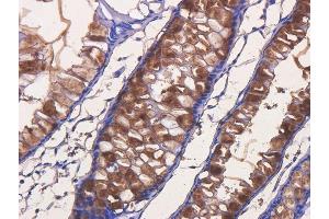
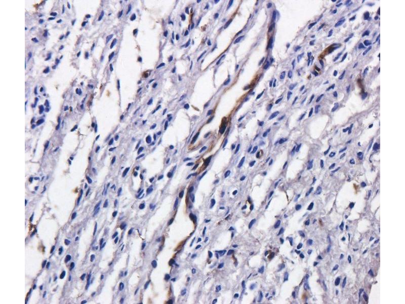
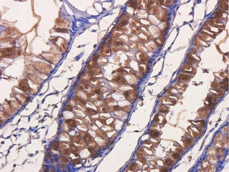
Recombinant TAG-72 (Satumomab Biosimilar) antibody

This Mouse Monoclonal antibody specifically detects TAG-72 (Satumomab Biosimilar) in FACS, BI and IHC. It exhibits reactivity toward Human.
Catalog No. ABIN5668023
$624.00
Plus shipping costs $50.00
200 μg
Shipping to: United States
Delivery in 7 to 13 Business Days

Quick Overview for Recombinant TAG-72 (Satumomab Biosimilar) antibody (ABIN5668023)

Target

TAG-72 (Satumomab Biosimilar)

Antibody Type

Recombinant Antibody

Reactivity

Human

Host

  • 1
  • 1
Mouse

Clonality

  • 1
  • 1
Monoclonal

Conjugate

  • 2
This TAG-72 (Satumomab Biosimilar) antibody is un-conjugated

Application

  • 2
  • 1
  • 1
  • 1
Flow Cytometry (FACS), BioImaging (BI), Immunohistochemistry (IHC)

Clone

B72-3
  • Purpose

    Anti-Tumor associated glycoprotein (TAG) 72 [B72.3 (Satumomab)], Mouse IgG1, kappa

    Specificity

    Recognises human Tumor associated glycoprotein 72.

    Characteristics

    Original Species of Ab: Mouse

    Original Format of Ab: IgG1

    Purification

    Protein A affinity purified

    Purity

    > 98 % as determined by SDS-PAGE

    Endotoxin Level

    Endotoxin is < 1.0 EU/mg as determined by the LAL method

    Immunogen

    Tumour-associated glycoprotein 72 is a glycoprotein found on the surface of many cancer cells, including ovary, breast, colon, and pancreatic cells.

    Isotype

    IgG1 kappa
  • Application Notes

    A In-111-labeled, murine version of this antibody was used in immunoscintigraphy to detect colorectal cancers in patients. In 16 % of patients, human-anti-mouse-responses developed.

    Comment

    NOT FOR THERAPEUTIC USE - This is a research-grade biosimilar.

    Restrictions

    For Research Use only
  • Concentration

    1 mg/mL

    Buffer

    PBS with 0.02 % Proclin 300.

    Preservative

    ProClin

    Precaution of Use

    This product contains ProClin: a POISONOUS AND HAZARDOUS SUBSTANCE which should be handled by trained staff only.

    Storage

    4 °C,-20 °C

    Storage Comment

    Store at 4°C for up to 3 months. For longer storage, aliquot and store at -20°C.
  • Target

    TAG-72 (Satumomab Biosimilar)

    Target Type

    Biosimilar

    Background

    TAG-72
You are here:
Chat with us!