Phone:
+1 877 302 8632
Fax:
+1 888 205 9894 (Toll-free)
E-Mail:
orders@antibodies-online.com

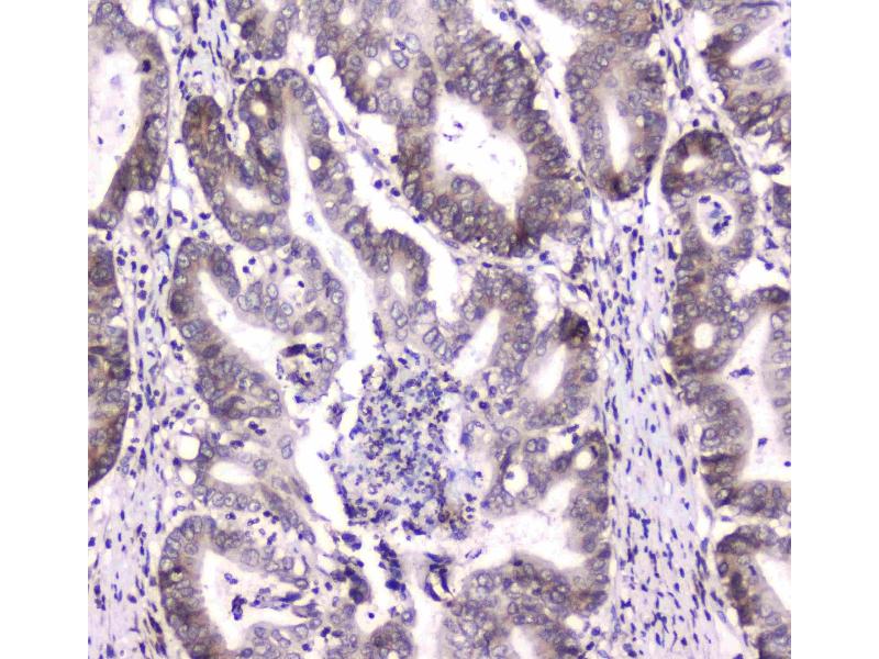
DGCR8 antibody (AA 561-762)

The Rabbit Polyclonal anti-DGCR8 antibody (ABIN5692841) specifically detects DGCR8 in WB, ELISA, IF, IHC and ICC. The antibody is reactive with Human, Mouse and Rat samples.
Catalog No. ABIN5692841
$370.00
Plus shipping costs $50.00
100 μg
Shipping to: United States
Delivery in 4 to 7 Business Days

Quick Overview for DGCR8 antibody (AA 561-762) (ABIN5692841)

Target

See all DGCR8 Antibodies
DGCR8 (DiGeorge Syndrome Critical Region Gene 8 (DGCR8))

Reactivity

  • 55
  • 25
  • 23
  • 2
  • 2
  • 2
  • 2
  • 2
  • 1
  • 1
  • 1
Human, Mouse, Rat

Host

  • 50
  • 6
Rabbit

Clonality

  • 30
  • 26
Polyclonal

Conjugate

  • 35
  • 3
  • 2
  • 2
  • 2
  • 2
  • 2
  • 2
  • 1
  • 1
  • 1
  • 1
  • 1
  • 1
This DGCR8 antibody is un-conjugated

Application

  • 44
  • 21
  • 17
  • 14
  • 11
  • 11
  • 4
  • 4
  • 2
Western Blotting (WB), ELISA, Immunofluorescence (IF), Immunohistochemistry (IHC), Immunocytochemistry (ICC)
  • Binding Specificity

    • 8
    • 5
    • 3
    • 3
    • 2
    • 2
    • 1
    • 1
    • 1
    • 1
    • 1
    • 1
    • 1
    AA 561-762

    Purpose

    Anti-DGCR8 Antibody

    Cross-Reactivity (Details)

    No cross-reactivity with other proteins.

    Characteristics

    Anti-DGCR8 Antibody (ABIN5692841). Tested in ELISA, IF, IHC, ICC, WB applications. This antibody reacts with Human, Mouse, Rat. This is a premium antibody that guarantees superior quality, high affinity, and strong signals with minimal background in Western blot applications.

    Purification

    Immunogen affinity purified.

    Immunogen

    E. coli-derived human DGCR8 recombinant protein (Position: K561-Q762).

    Isotype

    IgG
  • Application Notes

    Western blot, 0.1-0.5 μg/mL
    Immunohistochemistry (Paraffin-embedded Section), 0.5-1 μg/mL
    Immunocytochemistry/Immunofluorescence, 2 μg/mL
    ELISA, 0.1-0.5 μg/mL

    Restrictions

    For Research Use only
  • Format

    Lyophilized

    Reconstitution

    Add 0.2 mL of distilled water will yield a concentration of 500 μg/mL.

    Concentration

    500 μg/mL

    Buffer

    Each vial contains 4 mg Trehalose, 0.9 mg NaCl, 0.2 mg Na2HPO4, 0.05 mg NaN3.

    Preservative

    Sodium azide

    Precaution of Use

    This product contains Sodium azide: a POISONOUS AND HAZARDOUS SUBSTANCE which should be handled by trained staff only.

    Storage

    4 °C,-20 °C

    Storage Comment

    Store at -20°C for one year from date of receipt. After reconstitution, at 4°C for one month.
    It can also be aliquotted and stored frozen at -20°C for six months. Avoid repeated freeze-thaw cycles.
  • Target

    DGCR8 (DiGeorge Syndrome Critical Region Gene 8 (DGCR8))

    Alternative Name

    DGCR8

    Background

    Synonyms: Microprocessor complex subunit DGCR8, DiGeorge syndrome critical region 8, DGCR8, C22orf12, DGCRK6, LP4941

    Tissue Specificity: Ubiquitously expressed.

    Background: The DGCR8 microprocessor complex subunit (DiGeorge syndrome chromosomal [or critical] region 8) is a protein that in humans is encoded by the DGCR8 gene. This gene encodes a subunit of the microprocessor complex which mediates the biogenesis of microRNAs from the primary microRNA transcript. The encoded protein is a double-stranded RNA binding protein that functions as the non-catalytic subunit of the microprocessor complex. This protein is required for binding the double-stranded RNA substrate and facilitates cleavage of the RNA by the ribonuclease III protein, Drosha. Alternate splicing results in multiple transcript variants.

    Molecular Weight

    100 kDa

    Gene ID

    54487

    Pathways

    Regulatory RNA Pathways
You are here:
Chat with us!