Ngp antibody
Quick Overview for Ngp antibody (ABIN5706813)
Target
Reactivity
Host
Clonality
Application
-
-
Supplier Product No.
- 600-401-gw9
-
Supplier
- Rockland
-
Purpose
- Ngp Antibody
-
Cross-Reactivity (Details)
- Anti-NGP is directed against full-length mouse NGP.
-
Characteristics
- Synonyms: rabbit anti-NGP antibody, Neutrophilic granule protein, Cystatin-like protein, Myeloid bactenecin protein, Myeloid secondary granule protein
-
Purification
- This product is an affinity purified antibody produced by immunoaffinity chromatography using recombinant protein coupled to agarose beads.
-
Sterility
- Sterile filtered
-
Immunogen
-
Immunogen: Affinity purified Anti-NGP antibody was prepared from whole rabbit serum produced by repeated immunizations with a recombinant protein of mouse NGP protein.
Immunogen Type: Recombinant Protein
-
Isotype
- IgG
-
-
-
Application Notes
-
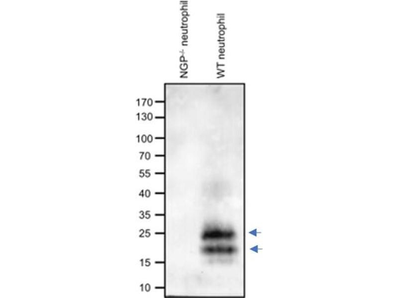
Application Note: This affinity purified antibody has been tested for use in IF, and western blot. Specific conditions for reactivity should be optimized by the end user. Expect a band 39-42 kDa for non reduced and 20-27 kDa for reduced gels corresponding to NGP by western blotting in the appropriate cell lysate or extract.
Western Blot Dilution: 1:1000
IF Microscopy Dilution: 1:200
-
Restrictions
- For Research Use only
-
-
-
Format
- Liquid
-
Concentration
- 1.1 mg/mL
-
Buffer
-
Buffer: 0.02 M Potassium Phosphate, 0.15 M Sodium Chloride, pH 7.2
Stabilizer: None
Preservative: 0.01 % (w/v) Sodium Azide -
Preservative
- Sodium azide
-
Precaution of Use
- This product contains Sodium azide: a POISONOUS AND HAZARDOUS SUBSTANCE which should be handled by trained staff only.
-
Storage
- 4 °C,-20 °C
-
Storage Comment
- Store vial at -20° C prior to opening. Aliquot contents and freeze at -20° C or below for extended storage. Avoid cycles of freezing and thawing. Centrifuge product if not completely clear after standing at room temperature. This product is stable for several weeks at 4° C as an undiluted liquid. Dilute only prior to immediate use.
-
Expiry Date
- 12 months
-
-
-
: "Neutrophilic Granule Protein Is a Novel Murine LPS Antagonist." in: Immune network, Vol. 19, Issue 5, pp. e34, (2019) (PubMed).
-
-
- Ngp (NGP) (Neutrophilic Granule Protein (NGP))
-
Alternative Name
- Ngp
-
Background
- Background: This antibody is designed, produced, and validated as part of a collaboration with the National Cancer Institute (NCI). A proteomic study in 2011 determined a direct correlation between NGP mRNA levels and myeloid-derived suppressor cells. Specifically cathepsin B, a catalytic mechanism and potentially biomarker in a variety of cancers and amyloid plaque development, was inhibited by NGP. The significance of NGP as a negative regulator of tumor metastasis makes this antibody ideal for investigators involved in cancer research, as well as Alzheimer's research.
-
Gene ID
- 18054
-
NCBI Accession
- NP_032720
Target
-