Phone:
+1 877 302 8632
Fax:
+1 888 205 9894 (Toll-free)
E-Mail:
orders@antibodies-online.com

Desmoglein 1 antibody (Internal Region)

The Goat Polyclonal anti-Desmoglein 1 antibody is suitable to detect Desmoglein 1 in samples from Human. It has been validated for IHC and ELISA.
Catalog No. ABIN570770
$488.25
Plus shipping costs $50.00
100 μg
Shipping to: United States
Delivery in 1 to 3 Business Days

Quick Overview for Desmoglein 1 antibody (Internal Region) (ABIN570770)

Target

See all Desmoglein 1 (DSG1) Antibodies
Desmoglein 1 (DSG1)

Reactivity

  • 119
  • 35
  • 23
  • 4
  • 3
  • 2
  • 2
  • 2
  • 1
  • 1
  • 1
Human

Host

  • 72
  • 49
Goat

Clonality

  • 65
  • 56
Polyclonal

Conjugate

  • 50
  • 11
  • 6
  • 4
  • 4
  • 4
  • 4
  • 4
  • 4
  • 3
  • 3
  • 3
  • 3
  • 3
  • 3
  • 2
  • 2
  • 2
  • 2
  • 1
  • 1
  • 1
  • 1
This Desmoglein 1 antibody is un-conjugated

Application

  • 63
  • 50
  • 38
  • 23
  • 20
  • 15
  • 11
  • 6
  • 5
  • 3
  • 2
  • 2
  • 1
  • 1
  • 1
Immunohistochemistry (IHC), ELISA

Grade

Verified
  • Binding Specificity

    • 8
    • 5
    • 4
    • 4
    • 3
    • 3
    • 2
    • 2
    • 2
    • 1
    • 1
    • 1
    • 1
    • 1
    • 1
    • 1
    • 1
    • 1
    Internal Region

    Purpose

    Desmoglein 1 / DSG1

    Sequence

    YTTSDTLKPS VHVHD

    Cross-Reactivity

    Human

    Purification

    Purified from goat serum by ammonium sulphate precipitation followed by antigen affinity chromatography using the immunizing peptide.

    Immunogen

    Peptide with sequence C-YTTSDTLKPSVHVHD, from the internal region of the protein sequence according to NP_001933.2.

    Isotype

    IgG
  • Application Notes

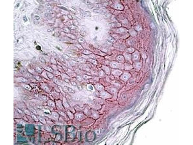
    Immunohistochemistry: In paraffin embedded Human Skin showsstaining of the cellular membranes of keratinocytes. Recommended concentration, 4-6 μg/mL.

    Western Blot: Preliminary experiments in lysates of cell lines A431, HeLa, K562 and MOLT4 gave no specific signal but low background (at antibody concentration up to 1 μg/mL).

    Peptide ELISA: antibody detection limit dilution 1:32000.

    Restrictions

    For Research Use only
  • Format

    Liquid

    Concentration

    0.5 mg/mL

    Buffer

    Supplied at 0.5 mg/mL in Tris saline, 0.02 % sodium azide, pH 7.3 with 0.5 % bovine serum albumin.

    Preservative

    Sodium azide

    Precaution of Use

    This product contains Sodium azide: a POISONOUS AND HAZARDOUS SUBSTANCE which should be handled by trained staff only.

    Handling Advice

    Minimize freezing and thawing.

    Storage

    -20 °C

    Storage Comment

    Aliquot and store at -20°C, with minimal freeze/thawing. A working aliquot may be refrigerated at 4°C for a few weeks and still remain viable.
  • Target

    Desmoglein 1 (DSG1)

    Alternative Name

    DSG1

    Background

    DSG1, desmoglein 1, CDHF4, DG1, DSG, desmosomal glycoprotein 1, pemphigus foliaceus antigen

    Gene ID

    1828

    NCBI Accession

    NP_001933

    Pathways

    Cell-Cell Junction Organization
You are here:
Chat with us!