Phone:
+1 877 302 8632
Fax:
+1 888 205 9894 (Toll-free)
E-Mail:
orders@antibodies-online.com

DYDC1 antibody (AA 142-154)

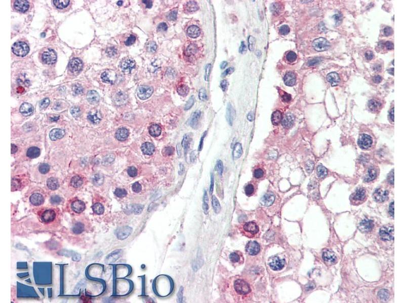
The Goat Polyclonal anti-DYDC1 antibody (ABIN571107) specifically detects DYDC1 in WB, ELISA and IHC. The antibody is reactive with Human, Mouse and Rat samples.
Catalog No. ABIN571107
$488.25
Plus shipping costs $50.00
100 μg
Shipping to: United States
Delivery in 1 to 3 Business Days

Quick Overview for DYDC1 antibody (AA 142-154) (ABIN571107)

Target

See all DYDC1 Antibodies
DYDC1 (DPY30 Domain Containing 1 (DYDC1))

Reactivity

  • 28
  • 4
  • 3
  • 2
  • 2
  • 2
  • 1
  • 1
  • 1
  • 1
Human, Mouse, Rat

Host

  • 24
  • 3
  • 1
Goat

Clonality

  • 25
  • 3
Polyclonal

Conjugate

  • 10
  • 3
  • 2
  • 2
  • 1
  • 1
  • 1
  • 1
  • 1
  • 1
  • 1
  • 1
  • 1
  • 1
  • 1
This DYDC1 antibody is un-conjugated

Application

  • 24
  • 13
  • 13
  • 11
  • 3
  • 3
  • 2
Western Blotting (WB), ELISA, Immunohistochemistry (IHC)

Grade

Verified
  • Binding Specificity

    • 15
    • 7
    • 2
    • 1
    • 1
    • 1
    • 1
    AA 142-154

    Purpose

    DYDC1 (aa142-154)

    Sequence

    TLAEISDRYG APN

    Cross-Reactivity

    Cow, Human, Mouse, Rat

    Purification

    Purified from goat serum by ammonium sulphate precipitation followed by antigen affinity chromatography using the immunizing peptide.

    Immunogen

    C-TLAEISDRYGAPN

    Isotype

    IgG
  • Application Notes

    Immunohistochemistry: Paraffin embedded Human Testis. Recommended concentration: 5 μg/mL.

    Western Blot: n transfected HEK293 transiently expressing Human DYDC1 (myc and DYKDDDDK tagged), a band of approx. 28 kDa is observed. No bands are observed in mock-transfected HEK293 and the same band is observed using anti-myc tag antibody. This 28 kDa b

    Peptide ELISA: antibody detection limit dilution 1:128000.

    Restrictions

    For Research Use only
  • Format

    Liquid

    Concentration

    0.5 mg/mL

    Buffer

    Supplied at 0.5 mg/mL in Tris saline, 0.02 % sodium azide, pH 7.3 with 0.5 % bovine serum albumin.

    Preservative

    Sodium azide

    Precaution of Use

    This product contains Sodium azide: a POISONOUS AND HAZARDOUS SUBSTANCE which should be handled by trained staff only.

    Handling Advice

    Minimize freezing and thawing.

    Storage

    -20 °C

    Storage Comment

    Aliquot and store at -20°C, with minimal freeze/thawing. A working aliquot may be refrigerated at 4°C for a few weeks and still remain viable.
  • Target

    DYDC1 (DPY30 Domain Containing 1 (DYDC1))

    Alternative Name

    DYDC1

    Background

    DYDC1, DPY30 domain containing 1, DPY30D1, FLJ43920, bA36D19.5, BC019250 protein, OTTHUMP00000019963

    Gene ID

    143241, 69496, 688433

    NCBI Accession

    NP_620167
You are here:
Blank Blank Blank Blank
Blank Blank Blank Blank
Chat with us!