IDH2 antibody (Internal Region)
Quick Overview for IDH2 antibody (Internal Region) (ABIN571275)
Target
See all IDH2 AntibodiesReactivity
Host
Clonality
Conjugate
Application
Grade
-
-
Binding Specificity
- Internal Region
-
Purpose
- IDH2
-
Sequence
- CIHGLSNVKL NE
-
Cross-Reactivity
- Cow, Dog, Human, Mouse, Pig, Rat
-
Purification
- Purified from goat serum by ammonium sulphate precipitation followed by antigen affinity chromatography using the immunizing peptide.
-
Immunogen
- CIHGLSNVKLNE
-
Isotype
- IgG
-
-
-
-
Application Notes
-
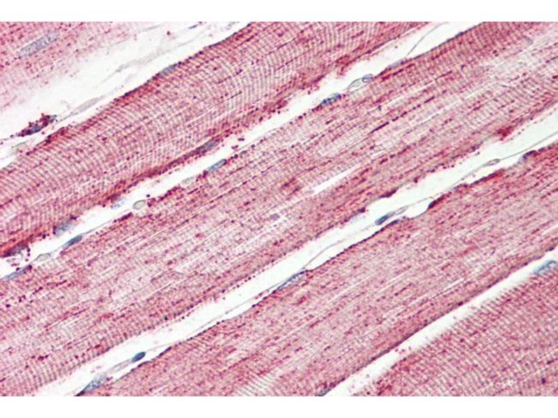
Immunohistochemistry: Paraffin embedded Human Skeletal Muscle. Recommended concentration: 3.75 μg/mL.
Western Blot: Approx 48 kDa band observed in Mouse, Rat and Pig Heart lysates (calculated MW of 50.9 kDa according to Mouse NP_766599.2). Recommended concentration: 0.1-0.3 μg/mL. Primary incubation was 1 hour.
Peptide ELISA: antibody detection limit dilution 1:16000.
-
Restrictions
- For Research Use only
-
-
-
Format
- Liquid
-
Concentration
- 0.5 mg/mL
-
Buffer
- Supplied at 0.5 mg/mL in Tris saline, 0.02 % sodium azide, pH 7.3 with 0.5 % bovine serum albumin.
-
Preservative
- Sodium azide
-
Precaution of Use
- This product contains Sodium azide: a POISONOUS AND HAZARDOUS SUBSTANCE which should be handled by trained staff only.
-
Handling Advice
- Minimize freezing and thawing.
-
Storage
- -20 °C
-
Storage Comment
- Aliquot and store at -20°C, with minimal freeze/thawing. A working aliquot may be refrigerated at 4°C for a few weeks and still remain viable.
-
-
- IDH2 (Isocitrate Dehydrogenase 2 (NADP+), Mitochondrial (IDH2))
-
Alternative Name
- IDH2
-
Background
- IDH2, isocitrate dehydrogenase 2 (NADP+), mitochondrial, ICD-M, IDH, IDHM, IDP, IDPM, mNADP-IDH, NADP+-specific ICDH, isocitrate dehydrogenase, mitochondrial, oxalosuccinate decarboxylase
-
Gene ID
- 3418, 269951, 361596
-
NCBI Accession
- NP_002159
-
Pathways
- Warburg Effect
Target
-