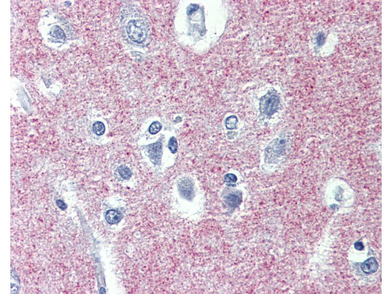
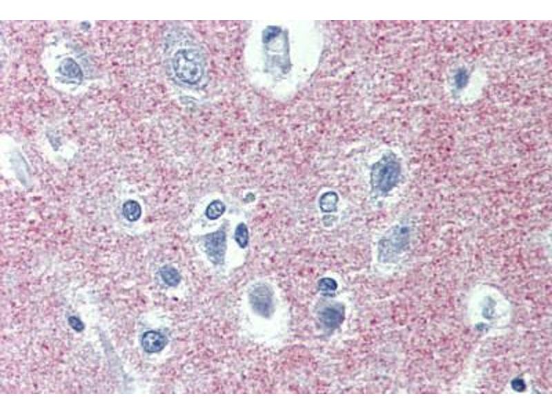
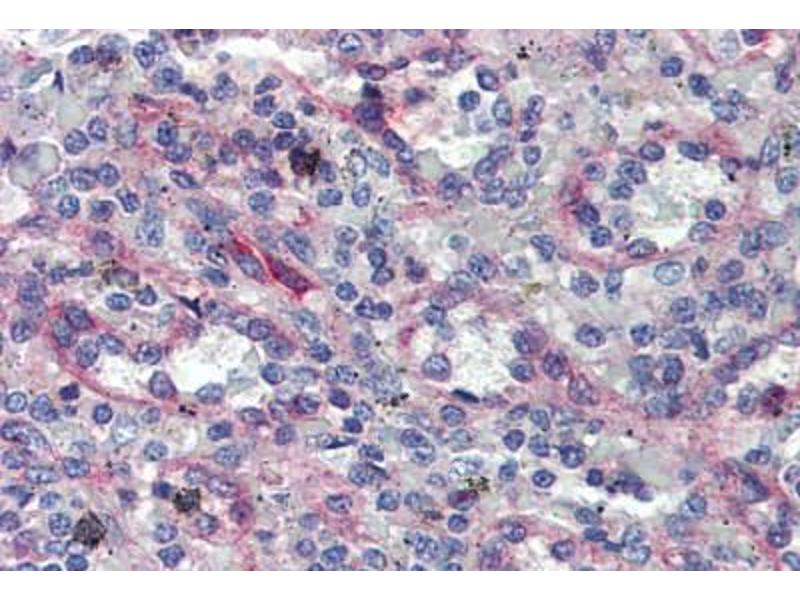
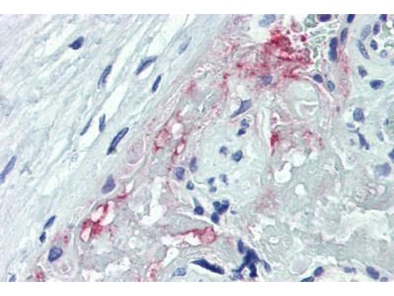
ADAM8 antibody (AA 763-824)
Quick Overview for ADAM8 antibody (AA 763-824) (ABIN573994)
Target
See all ADAM8 AntibodiesReactivity
Host
Clonality
Conjugate
Application
-
-
Binding Specificity
- AA 763-824
-
Specificity
- Human ADAM8.
-
Purification
- Immunoaffinity purified
-
Immunogen
-
Synthetic peptide containing a sequence corresponding to a region within amino acids 763 and 824 of Human CD156.
Type of Immunogen: Synthetic peptide
-
-
-
-
Application Notes
- Approved: IHC, IHC-P (20 μg/mL), WB (1:500 - 1:3000)
-
Comment
-
Target Species of Antibody: Human
-
Restrictions
- For Research Use only
-
-
-
Format
- Liquid
-
Concentration
- Lot specific
-
Buffer
- PBS, pH 7, 1 % BSA, 20 % Glycerol, 0.01 % Thimerosal
-
Preservative
- Thimerosal (Merthiolate)
-
Precaution of Use
- This product contains Thimerosal (Merthiolate): a POISONOUS AND HAZARDOUS SUBSTANCE which should be handled by trained staff only.
-
Handling Advice
- Minimize freezing and thawing.
-
Storage
- -20 °C
-
Storage Comment
- Aliquot and store at -20°C. Avoid freeze-thaw cycles.
-
-
- ADAM8 (ADAM Metallopeptidase Domain 8 (ADAM8))
-
Alternative Name
- ADAM8
-
Background
-
Name/Gene ID: ADAM8
Subfamily: Metallopeptidase M12B
Family: Protease
Synonyms: ADAM8, ADAM metallopeptidase domain 8, Cell surface antigen MS2, ADAM 8, MS2, CD156, CD156a antigen -
Gene ID
- 101
-
UniProt
- P78325
-
Pathways
- Activation of Innate immune Response, M Phase
Target
-