Phone:
+1 877 302 8632
Fax:
+1 888 205 9894 (Toll-free)
E-Mail:
orders@antibodies-online.com

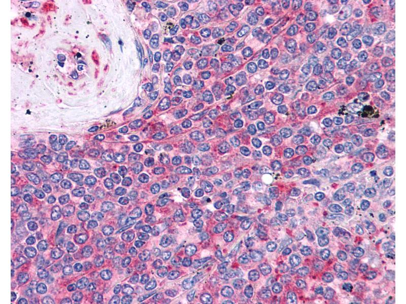
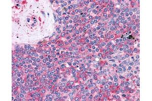
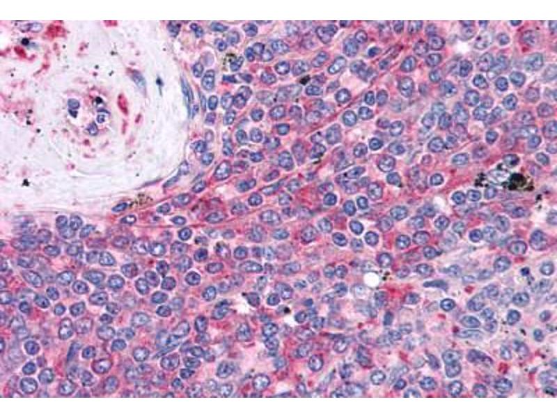
LST1 antibody

The Mouse Monoclonal anti-LST1 antibody (Clone LST1-02) (ABIN574428) specifically detects LST1 in WB, IP, IHC (p), ICC and IHC. The antibody is reactive with Human samples.
Catalog No. ABIN574428
$476.30
Plus shipping costs $50.00
0.05 mg
Shipping to: United States
Delivery in 11 to 15 Business Days

Quick Overview for LST1 antibody (ABIN574428)

Target

See all LST1 Antibodies
LST1 (Leukocyte Specific Transcript 1 (LST1))

Reactivity

Human

Host

  • 27
  • 4
Mouse

Clonality

  • 28
  • 3
Monoclonal

Conjugate

  • 11
  • 2
  • 2
  • 2
  • 2
  • 1
  • 1
  • 1
  • 1
  • 1
  • 1
  • 1
  • 1
  • 1
  • 1
  • 1
  • 1
This LST1 antibody is un-conjugated

Application

  • 30
  • 13
  • 9
  • 3
  • 3
  • 2
  • 1
Western Blotting (WB), Immunoprecipitation (IP), Immunohistochemistry (Paraffin-embedded Sections) (IHC (p)), Immunocytochemistry (ICC), Immunohistochemistry (IHC)

Clone

LST1-02
  • Specificity

    The antibody LST1/02 reacts with an extracellular epitope of LST1, an approximately 6-11 kD protein expressed as various transmembrane or soluble forms. LST1 is found predominantly on monocytes and dendritic cells. It migrates on SDS PAGE gels as approximately 25-28 kD molecule.

    Predicted Reactivity

    Percent identity by BLAST analysis: Human (100%) Gibbon, Monkey (93%).

    Purification

    Protein A purified

    Immunogen

    KLH-fused peptide corresponding to amino acids SSEGPDLRGRDKRGT of human LST1. Percent identity by BLAST analysis: Human (100%), Gibbon, Monkey (93%).

    Isotype

    IgG1
  • Application Notes

    Approved: ICC, IHC, IHC-P (10 μg/mL), IP, WB

    Usage: Immunohistochemistry: This antibody was validated for use in immunohistochemistry on a panel of 21 formalin-fixed, paraffin-embedded (FFPE) human tissues after heat induced antigen retrieval in  pH 6.0 citrate buffer. After incubation with the primary antibody,

    Comment

    Target Species of Antibody: Human

    Restrictions

    For Research Use only
  • Format

    Liquid

    Concentration

    Lot specific

    Buffer

    PBS, 15 mM sodium azide,  pH 7.4. Sourced in Ascites.

    Preservative

    Sodium azide

    Precaution of Use

    This product contains Sodium azide: a POISONOUS AND HAZARDOUS SUBSTANCE which should be handled by trained staff only.

    Handling Advice

    avoid freeze thaw cycles.

    Storage

    4 °C,-20 °C

    Storage Comment

    Short term 4°C, long term aliquot and store at -20°C, avoid freeze-thaw cycles.
  • Target

    LST1 (Leukocyte Specific Transcript 1 (LST1))

    Alternative Name

    LST1 / LST-1

    Background

    Name/Gene ID: LST1

    Synonyms: LST1, B144, D6S49E, Lymphocyte antigen 117, LST-1, Protein B144

    Gene ID

    7940

    UniProt

    O00453
You are here:
Blank Blank Blank Blank
Blank Blank Blank Blank
Chat with us!