CAB39L antibody (AA 1-367)
Quick Overview for CAB39L antibody (AA 1-367) (ABIN574463)
Target
See all CAB39L AntibodiesReactivity
Host
Clonality
Conjugate
Application
Clone
-
-
Binding Specificity
- AA 1-367
-
Purification
- Purified from ascites by Protein A
-
Immunogen
-
CAB39L (AAH10993, 1 a.a. ~ 367 a.a) full length recombinant protein with GST tag. MW of the GST tag alone is 26 KDa.
Type of Immunogen: Recombinant protein -
Isotype
- IgG1 kappa
-
-
-
-
Application Notes
-
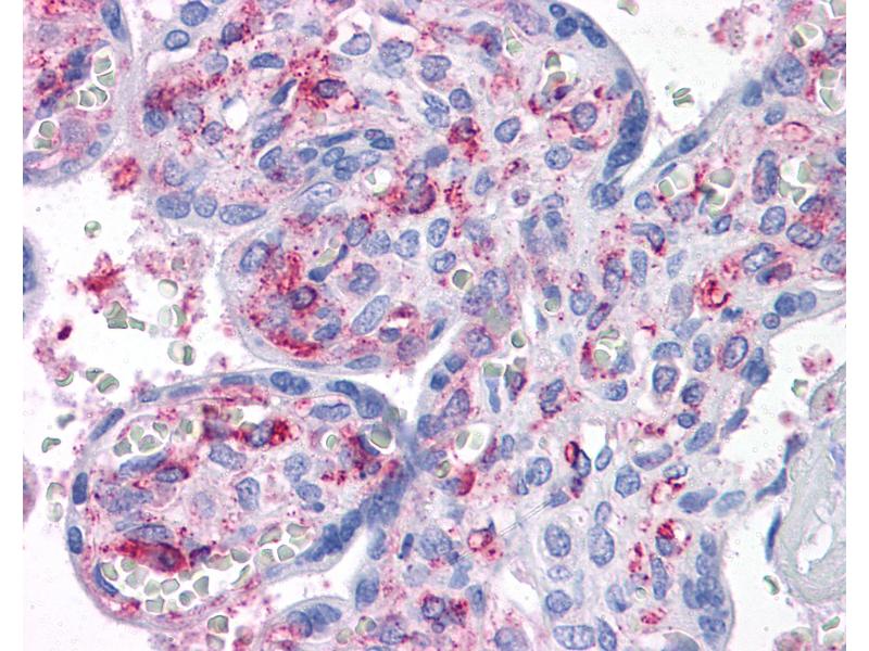
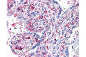
Approved: ELISA, IHC, IHC-P (10 μg/mL), WB
Usage: Western Blot (Cell lysate) - positive control K-562. -
Comment
-
Target Species of Antibody: Human
-
Restrictions
- For Research Use only
-
-
-
Format
- Liquid
-
Concentration
- Lot specific
-
Buffer
- PBS, pH 7.4
-
Handling Advice
- Aliquot to Avoid freeze/thaw cycles.
-
Storage
- -20 °C
-
Storage Comment
- Store at -20°C. Aliquot to avoid freeze/thaw cycles.
-
-
- CAB39L (Calcium Binding Protein 39-Like (CAB39L))
-
Alternative Name
- CAB39L
-
Background
-
Name/Gene ID: CAB39L
Synonyms: CAB39L, Antigen MLAA-34, BA103J18.3, MO25-BETA, Mo25-like protein, MO2L, RP11-103J18.3, Sarcoma antigen NY-SAR-79, MO25beta, U937-associated antigen -
Gene ID
- 81617
-
UniProt
- Q9H9S4
Target
-