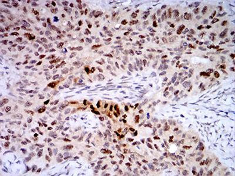
TTF1 antibody (AA 1-150)
The Mouse Monoclonal anti-TTF1 antibody is suitable to detect TTF1 in samples from Human.
Catalog No. ABIN5871603
$572.76
Plus shipping costs $50.00
Delivery in 10 to 18 Business Days
Quick Overview for TTF1 antibody (AA 1-150) (ABIN5871603)
Target
See all TTF1 Antibodies
TTF1
(Transcription Termination Factor, RNA Polymerase I (TTF1))
Reactivity
Human
Host
Mouse
Clonality
Monoclonal
Conjugate
This TTF1 antibody is un-conjugated
Application
Please inquire
-
-
Binding Specificity
-
AA 1-150
-
Characteristics
-
Isotype: Mouse IgG1
-
Immunogen
-
Purified recombinant fragment of human TTF1 (AA: 1-150) expressed in E. Coli.
-
Isotype
-
IgG1
-
-
-
Restrictions
-
For Research Use only
-
-
Format
-
Liquid
-
Buffer
-
Purified antibody in PBS with 0.05 % sodium azide.
-
Preservative
-
Sodium azide
-
Precaution of Use
-
This product contains Sodium azide: a POISONOUS AND HAZARDOUS SUBSTANCE which should be handled by trained staff only.
-
Storage
-
-20 °C
-
Storage Comment
-
Aliquot and store at -20 °C. Avoid repeated freeze/thaw cycles.
-
Target
-
TTF1
(Transcription Termination Factor, RNA Polymerase I (TTF1))
-
Alternative Name
-
TTF1
-
Molecular Weight
-
103 kDa
-
Gene ID
-
7270
-
UniProt
-
Q15361
-
Pathways
-
Thyroid Hormone Synthesis, Regulation of Systemic Arterial Blood Pressure by Hormones, Feeding Behaviour
-
You are here:
-
Homepage
-
anti-TTF1 antibody (AA 1-150) (ABIN5871603)