Phone:
+1 877 302 8632
Fax:
+1 888 205 9894 (Toll-free)
E-Mail:
orders@antibodies-online.com

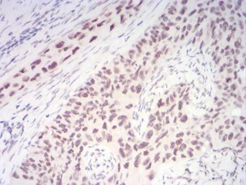
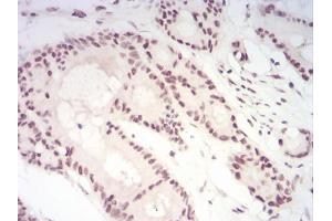
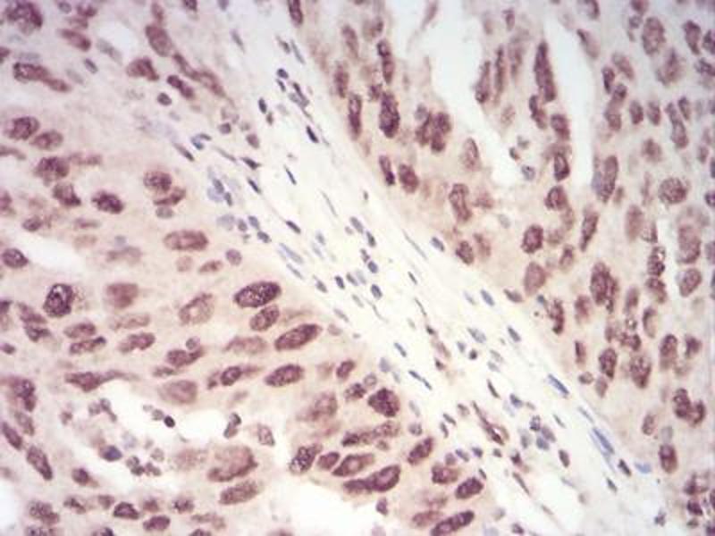
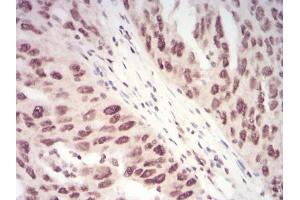
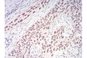
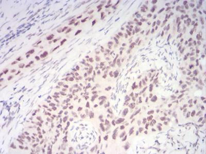
CBX1 antibody (AA 1-185)

The Mouse Monoclonal anti-CBX1 antibody is suitable to detect CBX1 in samples from Human.
Catalog No. ABIN5890956
$572.76
Plus shipping costs $50.00
100 μL
Shipping to: United States
Delivery in 10 to 18 Business Days

Quick Overview for CBX1 antibody (AA 1-185) (ABIN5890956)

Target

See all CBX1 Antibodies
CBX1 (Chromobox Homolog 1 (CBX1))

Reactivity

  • 49
  • 20
  • 17
  • 7
  • 7
  • 6
  • 5
  • 5
  • 4
  • 3
  • 3
  • 2
  • 2
  • 1
  • 1
Human

Host

  • 36
  • 10
  • 2
  • 1
Mouse

Clonality

  • 35
  • 13
  • 1
Monoclonal

Conjugate

  • 36
  • 2
  • 1
  • 1
  • 1
  • 1
  • 1
  • 1
  • 1
  • 1
  • 1
  • 1
  • 1
This CBX1 antibody is un-conjugated

Application

Please inquire
  • Binding Specificity

    • 8
    • 7
    • 2
    • 2
    • 2
    • 2
    • 1
    • 1
    • 1
    • 1
    • 1
    • 1
    • 1
    • 1
    • 1
    AA 1-185

    Characteristics

    Isotype: Mouse IgG1

    Immunogen

    Purified recombinant fragment of human CBX1 (AA: 1-185) expressed in E. Coli.

    Isotype

    IgG1
  • Restrictions

    For Research Use only
  • Format

    Liquid

    Buffer

    Purified antibody in PBS with 0.05 % sodium azide.

    Preservative

    Sodium azide

    Precaution of Use

    This product contains Sodium azide: a POISONOUS AND HAZARDOUS SUBSTANCE which should be handled by trained staff only.

    Storage

    -20 °C

    Storage Comment

    Aliquot and store at -20 °C. Avoid repeated freeze/thaw cycles.
  • Target

    CBX1 (Chromobox Homolog 1 (CBX1))

    Alternative Name

    CBX1

    Molecular Weight

    21.4 kDa

    Gene ID

    10951

    UniProt

    P83916
You are here:
Chat with us!