FNIP2 antibody (N-Term)
Quick Overview for FNIP2 antibody (N-Term) (ABIN604687)
Target
See all FNIP2 AntibodiesReactivity
Host
Clonality
Conjugate
Application
-
-
Binding Specificity
- N-Term
-
Specificity
- Multiple isoforms of FNIP2 are known to exist. This antibody is predicted to not cross-react with FNIP1.
-
Purification
- Immunoaffinity purified
-
Isotype
- IgG
-
-
-
-
Application Notes
-
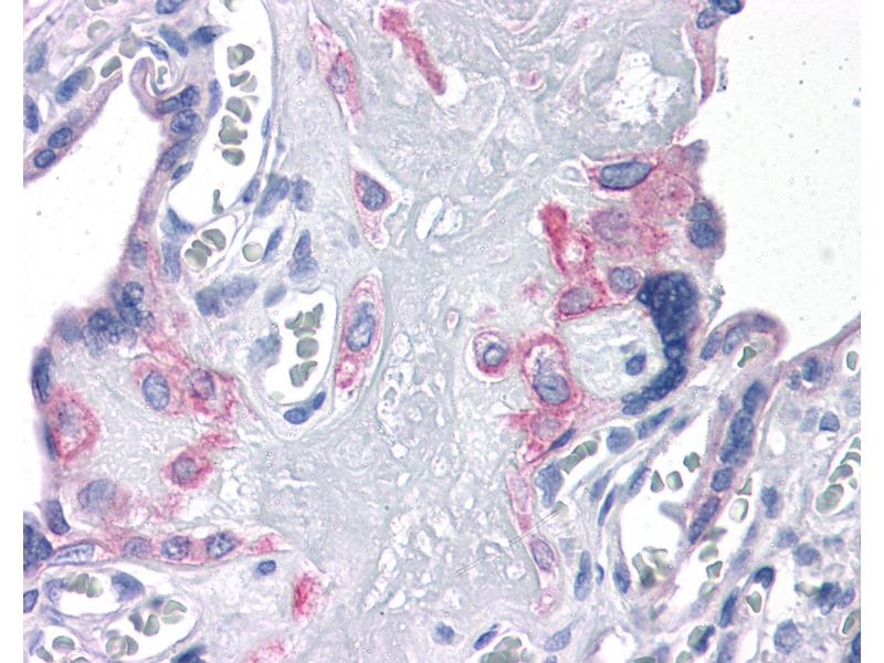
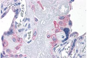
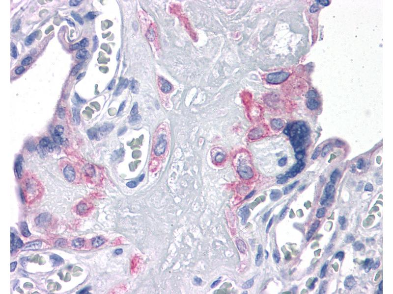
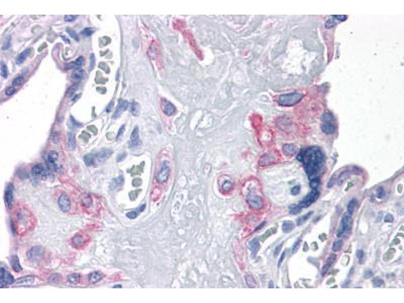
Approved: ELISA, IHC, IHC-P (5 μg/mL), WB (1 - 2 μg/mL)
Usage: FNIP2 antibody can be used for detection of FNIP2 by Western blot at 1-2 μg/mL. -
Comment
-
Target Species of Antibody: Human
-
Restrictions
- For Research Use only
-
-
-
Format
- Liquid
-
Concentration
- Lot specific
-
Buffer
- PBS, 0.02 % sodium azide
-
Preservative
- Sodium azide
-
Precaution of Use
- This product contains Sodium azide: a POISONOUS AND HAZARDOUS SUBSTANCE which should be handled by trained staff only.
-
Handling Advice
- avoid freeze thaw cycles. Store undiluted.
-
Storage
- 4 °C,-20 °C
-
Storage Comment
- Store at 4°C for 3 months and -20°C, stable for up to 1 year. Avoid repeated freeze-thaw cycles.
-
Expiry Date
- 12 months
-
-
- FNIP2 (Folliculin Interacting Protein 2 (FNIP2))
-
Alternative Name
- FNIP2
-
Background
-
Name/Gene ID: FNIP2
Synonyms: FNIP2, FNIP1-like protein, FNIPL, MAPO1, KIAA1450 -
Gene ID
- 57600
-
UniProt
- Q9P278
Target
-