SKA3 antibody (C-Term)
Quick Overview for SKA3 antibody (C-Term) (ABIN605122)
Target
See all SKA3 AntibodiesReactivity
Host
Clonality
Conjugate
Application
-
-
Binding Specificity
- C-Term
-
Purification
- Immunoaffinity purified
-
Isotype
- IgG
-
-
-
-
Application Notes
-
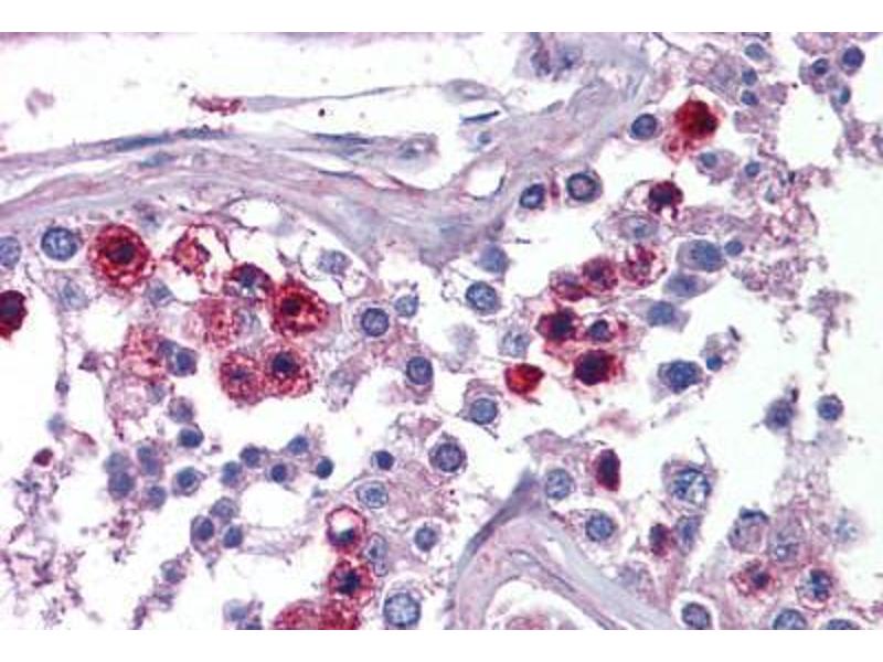
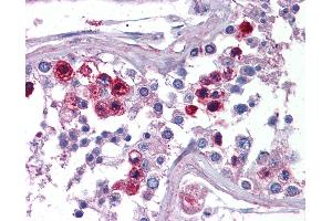
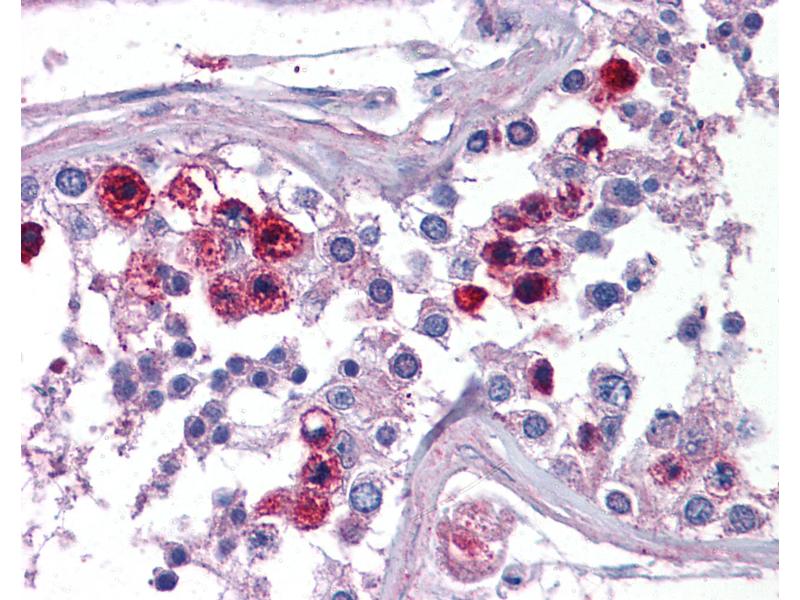
Approved: ELISA, IHC, IHC-P (5 μg/mL), WB (0.5 - 1 μg/mL)
Usage: SKA3 antibody can be used for detection of SKA3 by Western blot at 0.5-1 μg/mL. -
Comment
-
Target Species of Antibody: Human
-
Restrictions
- For Research Use only
-
-
-
Format
- Liquid
-
Concentration
- Lot specific
-
Buffer
- PBS, 0.02 % sodium azide
-
Preservative
- Sodium azide
-
Precaution of Use
- This product contains Sodium azide: a POISONOUS AND HAZARDOUS SUBSTANCE which should be handled by trained staff only.
-
Handling Advice
- avoid freeze thaw cycles. Store undiluted.
-
Storage
- 4 °C,-20 °C
-
Storage Comment
- Store at 4°C for 3 months and -20°C, stable for up to 1 year. Avoid repeated freeze-thaw cycles.
-
Expiry Date
- 12 months
-
-
- SKA3 (Spindle and Kinetochore Associated Complex Subunit 3 (SKA3))
-
Alternative Name
- RAMA1 / SKA3
-
Background
-
Name/Gene ID: SKA3
Synonyms: SKA3, C13orf3, RAMA1 -
Gene ID
- 221150
-
UniProt
- Q8IX90
Target
-