Phone:
+1 877 302 8632
Fax:
+1 888 205 9894 (Toll-free)
E-Mail:
orders@antibodies-online.com

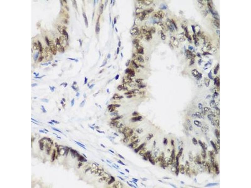
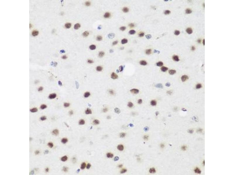
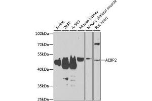
AEBP2 antibody (AA 234-503)

The Rabbit Polyclonal anti-AEBP2 antibody (ABIN6136608) specifically detects AEBP2 in WB and IHC. The antibody is reactive with Human samples.
Catalog No. ABIN6136608
$383.00
Plus shipping costs $50.00
Shipping to: United States
Delivery in 7 to 10 Business Days

Quick Overview for AEBP2 antibody (AA 234-503) (ABIN6136608)

Target

See all AEBP2 Antibodies
AEBP2 (AE Binding Protein 2 (AEBP2))

Reactivity

  • 28
  • 13
  • 4
  • 2
  • 2
  • 2
  • 2
  • 2
  • 1
  • 1
  • 1
  • 1
  • 1
  • 1
Human

Host

  • 26
  • 2
Rabbit

Clonality

  • 26
  • 2
Polyclonal

Conjugate

  • 16
  • 2
  • 1
  • 1
  • 1
  • 1
  • 1
  • 1
  • 1
  • 1
  • 1
  • 1
This AEBP2 antibody is un-conjugated

Application

  • 20
  • 11
  • 6
  • 4
  • 3
  • 2
  • 1
  • 1
Western Blotting (WB), Immunohistochemistry (IHC)
  • Binding Specificity

    • 8
    • 4
    • 1
    • 1
    • 1
    • 1
    • 1
    • 1
    AA 234-503

    Sequence

    STISSGRSTP AMMNGQGSTT SSSKNIAYNC CWDQCQACFN SSPDLADHIR SIHVDGQRGG VFVCLWKGCK VYNTPSTSQS WLQRHMLTHS GDKPFKCVVG GCNASFASQG GLARHVPTHF SQQNSSKVSS QPKAKEESPS KAGMNKRRKL KNKRRRSLPR PHDFFDAQTL DAIRHRAICF NLSAHIESLG KGHSVVFHST VIAKRKEDSG KIKLLLHWMP EDILPDVWVN ESERHQLKTK VVHLSKLPKD TALLLDPNIY RTMPQKRLKR

    Cross-Reactivity

    Human, Mouse, Rat

    Characteristics

    Polyclonal Antibodies

    Purification

    Affinity purification

    Immunogen

    Recombinant fusion protein containing a sequence corresponding to amino acids 234-503 of human AEBP2 (NP_694939.2).

    Isotype

    IgG
  • Application Notes

    WB,1:500 - 1:2000,IHC,1:50 - 1:200

    Comment

    HIGH QUALITY

    Restrictions

    For Research Use only
  • Format

    Liquid

    Buffer

    PBS with 0.02 % sodium azide,50 % glycerol, pH 7.3.

    Preservative

    Sodium azide

    Precaution of Use

    This product contains Sodium azide: a POISONOUS AND HAZARDOUS SUBSTANCE which should be handled by trained staff only.

    Storage

    -20 °C

    Storage Comment

    Store at -20°C. Avoid freeze / thaw cycles.
  • Target

    AEBP2 (AE Binding Protein 2 (AEBP2))

    Alternative Name

    AEBP2

    Background

    Acts as an accessory subunit for the core Polycomb repressive complex 2 (PRC2, which mediates histone H3K27 (H3K27me3 trimethylation on chromatin leading to transcriptional repression of the affected target gene. Plays a role in nucleosome localization of the PRC2 complex.,AEBP2,Epigenetics & Nuclear Signaling,Transcription Factors,Chromatin Remodeling,AEBP2

    Molecular Weight

    33 kDa/52 kDa/54 kDa

    Gene ID

    121536

    UniProt

    Q6ZN18
You are here:
Chat with us!