Phone:
+1 877 302 8632
Fax:
+1 888 205 9894 (Toll-free)
E-Mail:
orders@antibodies-online.com

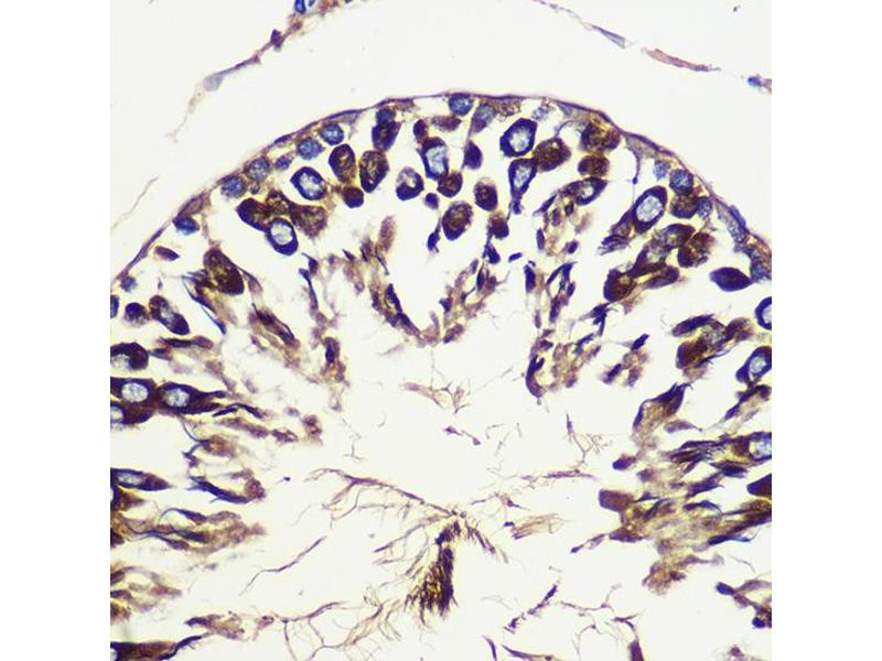
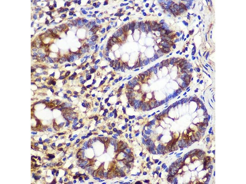
ATG10 antibody (AA 1-220)

This Rabbit Polyclonal antibody specifically detects ATG10 in WB and IHC. It exhibits reactivity toward Human.
Catalog No. ABIN6137243
$383.00
Plus shipping costs $50.00
Shipping to: United States
Delivery in 7 to 10 Business Days

Quick Overview for ATG10 antibody (AA 1-220) (ABIN6137243)

Target

See all ATG10 Antibodies
ATG10 (Autophagy Related 10 (ATG10))

Reactivity

  • 78
  • 15
  • 7
  • 3
  • 3
  • 2
  • 2
  • 2
  • 1
Human

Host

  • 75
  • 2
  • 1
Rabbit

Clonality

  • 64
  • 14
Polyclonal

Conjugate

  • 32
  • 7
  • 5
  • 4
  • 2
  • 2
  • 2
  • 2
  • 2
  • 2
  • 2
  • 2
  • 1
  • 1
  • 1
  • 1
  • 1
  • 1
  • 1
  • 1
  • 1
  • 1
  • 1
  • 1
  • 1
  • 1
This ATG10 antibody is un-conjugated

Application

  • 36
  • 27
  • 20
  • 13
  • 13
  • 11
  • 9
  • 7
  • 5
  • 3
  • 3
  • 3
  • 2
  • 1
Western Blotting (WB), Immunohistochemistry (IHC)
  • Binding Specificity

    • 15
    • 12
    • 8
    • 8
    • 8
    • 3
    • 2
    • 1
    • 1
    • 1
    AA 1-220

    Sequence

    MEEDEFIGEK TFQRYCAEFI KHSQQIGDSW EWRPSKDCSD GYMCKIHFQI KNGSVMSHLG ASTHGQTCLP MEEAFELPLD DCEVIETAAA SEVIKYEYHV LYSCSYQVPV LYFRASFLDG RPLTLKDIWE GVHECYKMRL LQGPWDTITQ QEHPILGQPF FVLHPCKTNE FMTPVLKNSQ KINKNVNYIT SWLSIVGPVV GLNLPLSYAK ATSQDERNVP

    Cross-Reactivity

    Human, Mouse, Rat

    Characteristics

    Polyclonal Antibodies

    Purification

    Affinity purification

    Immunogen

    Recombinant fusion protein containing a sequence corresponding to amino acids 1-220 of human ATG10 (NP_113670.1).

    Isotype

    IgG
  • Application Notes

    WB,1:500 - 1:2000,IHC,1:50 - 1:200

    Comment

    HIGH QUALITY

    Restrictions

    For Research Use only
  • Format

    Liquid

    Buffer

    PBS with 0.02 % sodium azide,50 % glycerol, pH 7.3.

    Preservative

    Sodium azide

    Precaution of Use

    This product contains Sodium azide: a POISONOUS AND HAZARDOUS SUBSTANCE which should be handled by trained staff only.

    Storage

    -20 °C

    Storage Comment

    Store at -20°C. Avoid freeze / thaw cycles.
  • Target

    ATG10 (Autophagy Related 10 (ATG10))

    Alternative Name

    ATG10

    Background

    Autophagy is a process for the bulk degradation of cytosolic compartments by lysosomes. ATG10 is an E2-like enzyme involved in 2 ubiquitin-like modifications essential for autophagosome formation: ATG12 (MIM 609608)-ATG5 (MIM 604261) conjugation and modification of a soluble form of MAP-LC3 (MAP1LC3A, MIM 601242), a homolog of yeast Apg8, to a membrane-bound form (Nemoto et al., 2003 [PubMed 12890687]).[supplied by OMIM, Mar 2008],ATG10,APG10,APG10L,pp12616,Cancer,Tumor suppressors,Cell Biology & Developmental Biology,Autophagy,Ubiquitin,Endocrine & Metabolism,Neuroscience,Neurodegenerative Diseases,Cardiovascular,Heart,ATGs,ATG10

    Molecular Weight

    14 kDa/25 kDa

    Gene ID

    83734

    UniProt

    Q9H0Y0

    Pathways

    ER-Nucleus Signaling, Autophagy
You are here:
Chat with us!