Phone:
+1 877 302 8632
Fax:
+1 888 205 9894 (Toll-free)
E-Mail:
orders@antibodies-online.com

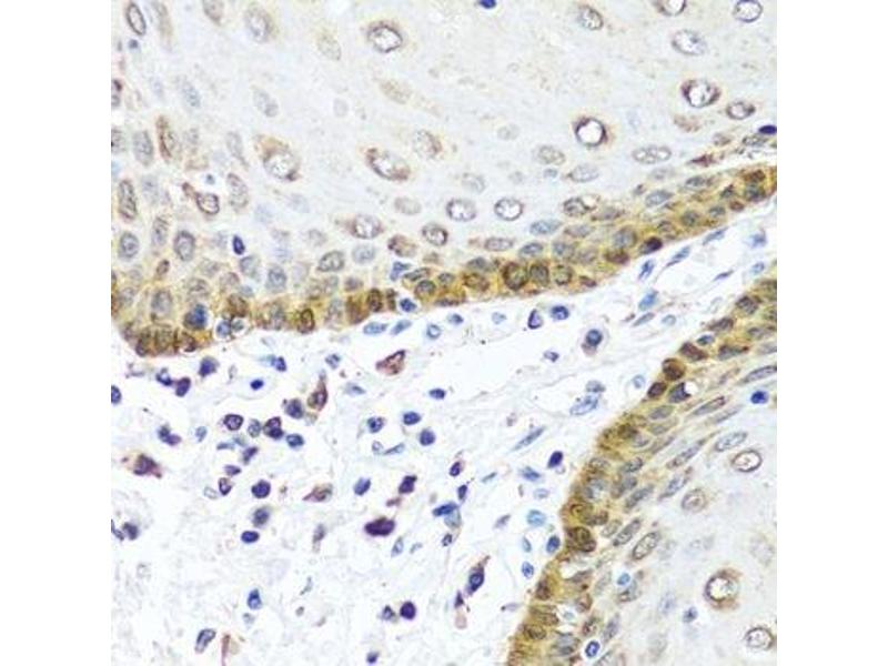
BMP5 antibody (AA 317-454)

The Rabbit Polyclonal anti-BMP5 antibody (ABIN6137604) specifically detects BMP5 in WB and IHC. The antibody is reactive with Human samples.
Catalog No. ABIN6137604
$383.00
Plus shipping costs $50.00
Shipping to: United States
Delivery in 7 to 10 Business Days

Quick Overview for BMP5 antibody (AA 317-454) (ABIN6137604)

Target

See all BMP5 Antibodies
BMP5 (Bone Morphogenetic Protein 5 (BMP5))

Reactivity

  • 63
  • 23
  • 5
  • 1
  • 1
  • 1
  • 1
  • 1
  • 1
  • 1
  • 1
Human

Host

  • 61
  • 10
  • 1
Rabbit

Clonality

  • 63
  • 9
Polyclonal

Conjugate

  • 34
  • 10
  • 4
  • 2
  • 2
  • 2
  • 1
  • 1
  • 1
  • 1
  • 1
  • 1
  • 1
  • 1
  • 1
  • 1
  • 1
  • 1
  • 1
  • 1
  • 1
  • 1
  • 1
  • 1
This BMP5 antibody is un-conjugated

Application

  • 55
  • 26
  • 25
  • 13
  • 13
  • 10
  • 6
  • 6
  • 5
  • 4
  • 3
  • 3
  • 3
  • 2
  • 1
Western Blotting (WB), Immunohistochemistry (IHC)
  • Binding Specificity

    • 15
    • 9
    • 8
    • 4
    • 3
    • 3
    • 2
    • 2
    • 2
    • 2
    • 2
    • 1
    • 1
    • 1
    • 1
    • 1
    • 1
    • 1
    AA 317-454

    Sequence

    AANKRKNQNR NKSSSHQDSS RMSSVGDYNT SEQKQACKKH ELYVSFRDLG WQDWIIAPEG YAAFYCDGEC SFPLNAHMNA TNHAIVQTLV HLMFPDHVPK PCCAPTKLNA ISVLYFDDSS NVILKKYRNM VVRSCGCH

    Cross-Reactivity

    Human, Mouse, Rat

    Characteristics

    Polyclonal Antibodies

    Purification

    Affinity purification

    Immunogen

    Recombinant fusion protein containing a sequence corresponding to amino acids 317-454 of human BMP5 (NP_066551.1).

    Isotype

    IgG
  • Application Notes

    WB,1:500 - 1:2000,IHC,1:50 - 1:100

    Comment

    HIGH QUALITY

    Restrictions

    For Research Use only
  • Format

    Liquid

    Buffer

    PBS with 0.02 % sodium azide,50 % glycerol, pH 7.3.

    Preservative

    Sodium azide

    Precaution of Use

    This product contains Sodium azide: a POISONOUS AND HAZARDOUS SUBSTANCE which should be handled by trained staff only.

    Storage

    -20 °C

    Storage Comment

    Store at -20°C. Avoid freeze / thaw cycles.
  • Target

    BMP5 (Bone Morphogenetic Protein 5 (BMP5))

    Alternative Name

    BMP5

    Background

    This gene encodes a member of the bone morphogenetic protein family which is part of the transforming growth factor-beta superfamily. The superfamily includes large families of growth and differentiation factors. Bone morphogenetic proteins were originally identified by an ability of demineralized bone extract to induce endochondral osteogenesis in vivo in an extraskeletal site. These proteins are synthesized as prepropeptides, cleaved, and then processed into dimeric proteins. This protein may act as an important signaling molecule within the trabecular meshwork and optic nerve head, and may play a potential role in glaucoma pathogenesis. This gene is differentially regulated during the formation of various tumors.,BMP5,Signal Transduction,Cell Biology & Developmental Biology,Cytoskeleton,Extracellular Matrix,Collagen,Bone,Growth factor,Wnt/β-Catenin Signaling Pathway,Immunology & Inflammation,Cytokines,NF-kB Signaling Pathway,Stem Cells,Cardiovascular,Angiogenesis,BMP5

    Molecular Weight

    47 kDa/51 kDa

    Gene ID

    653

    UniProt

    P22003

    Pathways

    Regulation of Hormone Metabolic Process, Regulation of Hormone Biosynthetic Process
You are here:
Chat with us!