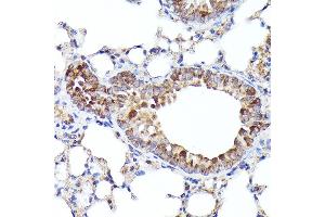
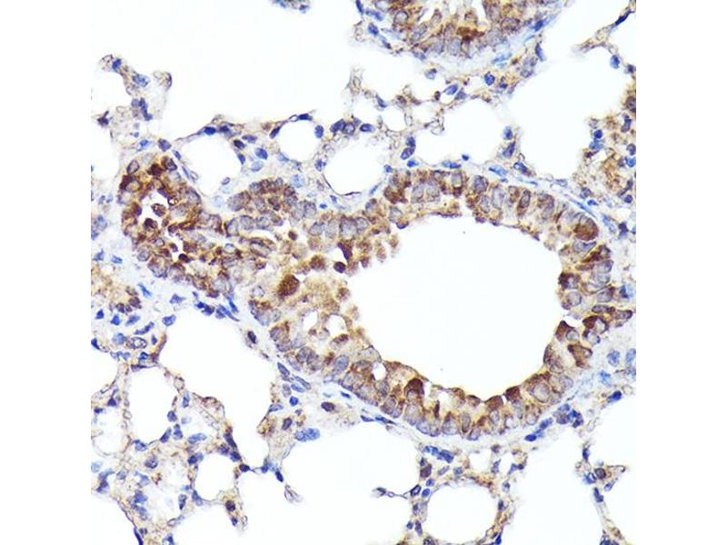
BNIP3L/NIX antibody (AA 1-187)
Quick Overview for BNIP3L/NIX antibody (AA 1-187) (ABIN6137622)
Target
See all BNIP3L/NIX (BNIP3L) AntibodiesReactivity
Host
Clonality
Conjugate
Application
-
-
Binding Specificity
- AA 1-187
-
Sequence
- MSSHLVEPPP PLHNNNNNCE ENEQSLPPPA GLNSSWVELP MNSSNGNDNG NGKNGGLEHV PSSSSIHNGD MEKILLDAQH ESGQSSSRGS SHCDSPSPQE DGQIMFDVEM HTSRDHSSQS EEEVVEGEKE VEALKKSADW VSDWSSRPEN IPPKEFHFRH PKRSVSLSMR KSGAMKKGGI FSAEFLK
-
Cross-Reactivity
- Human, Mouse, Rat
-
Characteristics
- Polyclonal Antibodies
-
Purification
- Affinity purification
-
Immunogen
- Recombinant fusion protein containing a sequence corresponding to amino acids 1-187 of human BNIP3L (NP_004322.1).
-
Isotype
- IgG
-
-
-
-
Application Notes
- WB,1:500 - 1:2000,IHC,1:50 - 1:200,IF,1:50 - 1:200
-
Comment
-
HIGH QUALITY
-
Restrictions
- For Research Use only
-
-
-
Format
- Liquid
-
Buffer
- PBS with 0.02 % sodium azide,50 % glycerol, pH 7.3.
-
Preservative
- Sodium azide
-
Precaution of Use
- This product contains Sodium azide: a POISONOUS AND HAZARDOUS SUBSTANCE which should be handled by trained staff only.
-
Storage
- -20 °C
-
Storage Comment
- Store at -20°C. Avoid freeze / thaw cycles.
-
-
- BNIP3L/NIX (BNIP3L) (BCL2/adenovirus E1B 19kDa Interacting Protein 3-Like (BNIP3L))
-
Alternative Name
- BNIP3L
-
Background
- This gene encodes a protein that belongs to the pro-apoptotic subfamily within the Bcl-2 family of proteins. The encoded protein binds to Bcl-2 and possesses the BH3 domain. The protein directly targets mitochondria and causes apoptotic changes, including loss of membrane potential and the release of cytochrome c.,BNIP3L,BNIP3a,NIX,Cancer,Tumor suppressors,p53 pathway,Invasion and Metastasis,Cell Biology & Developmental Biology,Apoptosis,Bcl 2 family,Autophagy,Wnt/β-Catenin Signaling Pathway,Endocrine & Metabolism,Mitochondrial metabolism,Mitophagy fission and fusion,Cardiovascular,Heart,Mitochondrial Control of Autophagy,BNIP3L
-
Molecular Weight
- 19 kDa/23 kDa
-
Gene ID
- 665
-
UniProt
- O60238
-
Pathways
- Autophagy
Target
-