Phone:
+1 877 302 8632
Fax:
+1 888 205 9894 (Toll-free)
E-Mail:
orders@antibodies-online.com

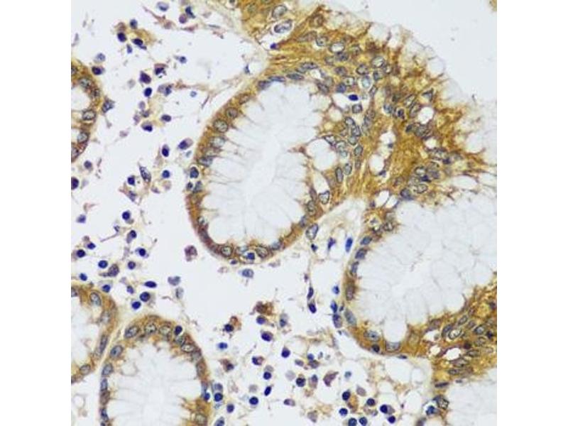
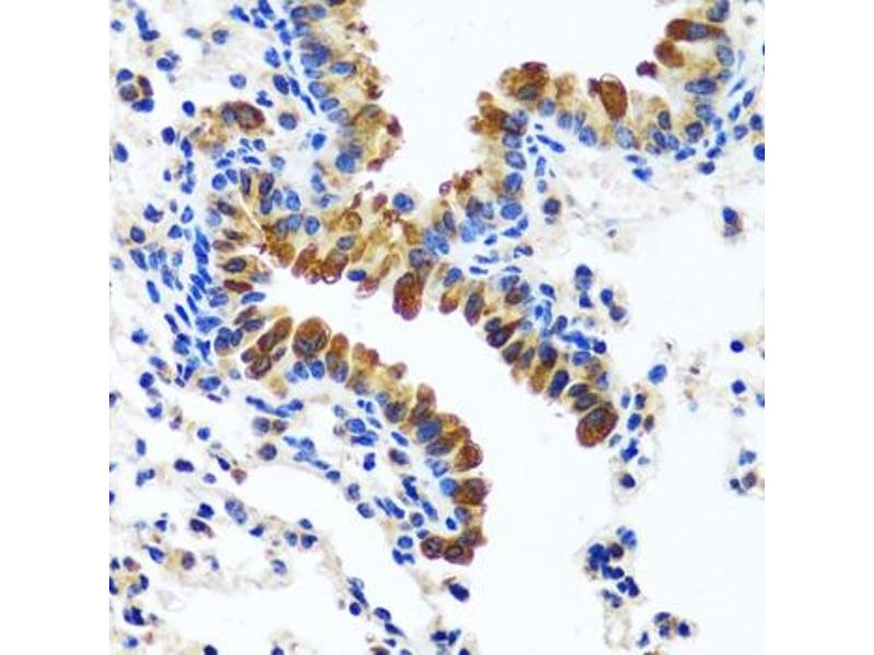
CAMLG antibody (AA 1-190)

The Rabbit Polyclonal anti-CAMLG antibody (ABIN6137896) specifically detects CAMLG in WB, IHC and IF. The antibody is reactive with Human samples.
Catalog No. ABIN6137896
$383.00
Plus shipping costs $50.00
Shipping to: United States
Delivery in 7 to 10 Business Days

Quick Overview for CAMLG antibody (AA 1-190) (ABIN6137896)

Target

See all CAMLG Antibodies
CAMLG (Calcium Modulating Ligand (CAMLG))

Reactivity

  • 33
  • 9
  • 9
  • 3
  • 3
  • 3
  • 2
  • 2
  • 2
  • 1
  • 1
Human

Host

  • 28
  • 8
  • 1
Rabbit

Clonality

  • 32
  • 5
Polyclonal

Conjugate

  • 28
  • 3
  • 2
  • 2
  • 1
  • 1
This CAMLG antibody is un-conjugated

Application

  • 33
  • 15
  • 13
  • 8
  • 7
  • 5
  • 3
  • 1
Western Blotting (WB), Immunohistochemistry (IHC), Immunofluorescence (IF)
  • Binding Specificity

    • 7
    • 5
    • 4
    • 2
    • 2
    • 2
    • 1
    • 1
    • 1
    • 1
    • 1
    • 1
    • 1
    • 1
    AA 1-190

    Sequence

    MESMAVATDG GERPGVPAGS GLSASQRRAE LRRRKLLMNS EQRINRIMGF HRPGSGAEEE SQTKSKQQDS DKLNSLSVPS VSKRVVLGDS VSTGTTDQQG GVAEVKGTQL GDKLDSFIKP PECSSDVNLE LRQRNRGDLT ADSVQRGSRH GLEQYLSRFE EAMKLRKQLI SEKPSQEDGN TTEEFDSFRI

    Cross-Reactivity

    Human, Mouse, Rat

    Characteristics

    Polyclonal Antibodies

    Purification

    Affinity purification

    Immunogen

    Recombinant fusion protein containing a sequence corresponding to amino acids 1-190 of human CAMLG (NP_001736.1).

    Isotype

    IgG
  • Application Notes

    WB,1:500 - 1:2000,IHC,1:50 - 1:100,IF,1:50 - 1:200

    Restrictions

    For Research Use only
  • Format

    Liquid

    Buffer

    PBS with 0.02 % sodium azide,50 % glycerol, pH 7.3.

    Preservative

    Sodium azide

    Precaution of Use

    This product contains Sodium azide: a POISONOUS AND HAZARDOUS SUBSTANCE which should be handled by trained staff only.

    Storage

    -20 °C

    Storage Comment

    Store at -20°C. Avoid freeze / thaw cycles.
  • Target

    CAMLG (Calcium Modulating Ligand (CAMLG))

    Alternative Name

    CAMLG

    Background

    The immunosuppressant drug cyclosporin A blocks a calcium-dependent signal from the T-cell receptor (TCR) that normally leads to T-cell activation. When bound to cyclophilin B, cyclosporin A binds and inactivates the key signaling intermediate calcineurin. The protein encoded by this gene functions similarly to cyclosporin A, binding to cyclophilin B and acting downstream of the TCR and upstream of calcineurin by causing an influx of calcium. This integral membrane protein appears to be a new participant in the calcium signal transduction pathway, implicating cyclophilin B in calcium signaling, even in the absence of cyclosporin.,CAMLG,CAML,GET2,Signal Transduction,Neuroscience,Calcium Signaling,CAMLG

    Molecular Weight

    32 kDa

    Gene ID

    819

    UniProt

    P49069

    Pathways

    EGFR Signaling Pathway
You are here:
Chat with us!