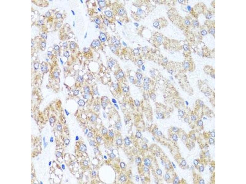
CHD1 antibody (C-Term)
Quick Overview for CHD1 antibody (C-Term) (ABIN6138500)
Target
See all CHD1 AntibodiesReactivity
Host
Clonality
Conjugate
Application
-
-
Binding Specificity
- C-Term
-
Sequence
- DREKHRKLDD HRSRDHRSNL EGSLKDRSHS DHRSHSDHRL HSDHRSSSEY THHKSSRDYR YHSDWQMDHR ASSSGPRSPL DQRSPYGSRS PFEHSVEHKS TPEHTWSSRK T
-
Cross-Reactivity
- Human, Mouse, Rat
-
Characteristics
- Polyclonal Antibodies
-
Purification
- Affinity purification
-
Immunogen
- A synthetic peptide corresponding to a sequence within amino acids 1600 to the C-terminus of human CHD1 (NP_001261.2).
-
Isotype
- IgG
-
-
-
-
Application Notes
- WB,1:500 - 1:2000,IHC,1:100 - 1:200
-
Comment
-
HIGH QUALITY
-
Restrictions
- For Research Use only
-
-
-
Format
- Liquid
-
Buffer
- PBS with 0.02 % sodium azide,50 % glycerol, pH 7.3.
-
Preservative
- Sodium azide
-
Precaution of Use
- This product contains Sodium azide: a POISONOUS AND HAZARDOUS SUBSTANCE which should be handled by trained staff only.
-
Storage
- -20 °C
-
Storage Comment
- Store at -20°C. Avoid freeze / thaw cycles.
-
-
- CHD1 (Chromodomain Helicase DNA Binding Protein 1 (CHD1))
-
Alternative Name
- CHD1
-
Background
- The CHD family of proteins is characterized by the presence of chromo (chromatin organization modifier) domains and SNF2-related helicase/ATPase domains. CHD genes alter gene expression possibly by modification of chromatin structure thus altering access of the transcriptional apparatus to its chromosomal DNA template.,CHD1,Epigenetics & Nuclear Signaling,Chromatin Remodeling,CHD1
-
Molecular Weight
- 196 kDa
-
Gene ID
- 1105
-
UniProt
- O14646
-
Pathways
- Chromatin Binding
Target
-