Phone:
+1 877 302 8632
Fax:
+1 888 205 9894 (Toll-free)
E-Mail:
orders@antibodies-online.com

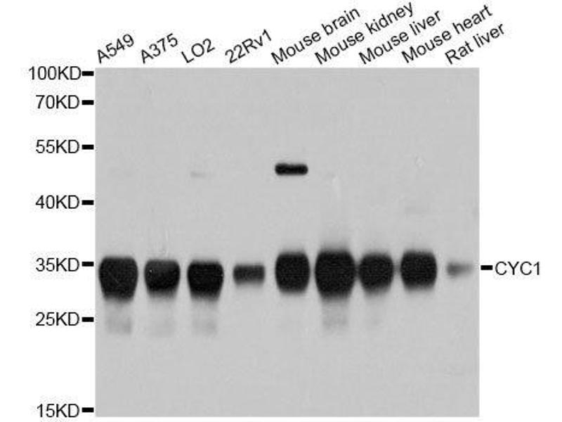
Cytochrome C1 antibody (AA 85-291)

The Rabbit Polyclonal anti-Cytochrome C1 antibody is suitable to detect Cytochrome C1 in samples from Human. It has been validated for WB and IHC.
Catalog No. ABIN6139302
$383.00
Plus shipping costs $50.00
Shipping to: United States
Delivery in 7 to 10 Business Days

Quick Overview for Cytochrome C1 antibody (AA 85-291) (ABIN6139302)

Target

See all Cytochrome C1 (CYC1) Antibodies
Cytochrome C1 (CYC1)

Reactivity

  • 51
  • 17
  • 5
  • 3
  • 3
  • 3
  • 3
  • 2
  • 2
  • 1
  • 1
  • 1
Human

Host

  • 49
  • 3
Rabbit

Clonality

  • 50
  • 2
Polyclonal

Conjugate

  • 31
  • 4
  • 4
  • 3
  • 2
  • 2
  • 1
  • 1
  • 1
  • 1
  • 1
  • 1
This Cytochrome C1 antibody is un-conjugated

Application

  • 39
  • 30
  • 16
  • 14
  • 7
  • 6
  • 2
  • 1
Western Blotting (WB), Immunohistochemistry (IHC)
  • Binding Specificity

    • 8
    • 7
    • 5
    • 5
    • 3
    • 2
    • 2
    • 1
    • 1
    • 1
    • 1
    • 1
    • 1
    • 1
    AA 85-291

    Sequence

    SDLELHPPSY PWSHRGLLSS LDHTSIRRGF QVYKQVCASC HSMDFVAYRH LVGVCYTEDE AKELAAEVEV QDGPNEDGEM FMRPGKLFDY FPKPYPNSEA ARAANNGALP PDLSYIVRAR HGGEDYVFSL LTGYCEPPTG VSLREGLYFN PYFPGQAIAM APPIYTDVLE FDDGTPATMS QIAKDVCTFL RWASEPEHDH RKRMGLK

    Cross-Reactivity

    Human, Mouse, Rat

    Characteristics

    Polyclonal Antibodies

    Purification

    Affinity purification

    Immunogen

    Recombinant fusion protein containing a sequence corresponding to amino acids 85-291 of human CYC1 (NP_001907.2).

    Isotype

    IgG
  • Application Notes

    WB,1:500 - 1:2000,IHC,1:100 - 1:200

    Comment

    HIGH QUALITY

    Restrictions

    For Research Use only
  • Format

    Liquid

    Buffer

    PBS with 0.02 % sodium azide,50 % glycerol, pH 7.3.

    Preservative

    Sodium azide

    Precaution of Use

    This product contains Sodium azide: a POISONOUS AND HAZARDOUS SUBSTANCE which should be handled by trained staff only.

    Storage

    -20 °C

    Storage Comment

    Store at -20°C. Avoid freeze / thaw cycles.
  • Target

    Cytochrome C1 (CYC1)

    Alternative Name

    CYC1

    Background

    This gene encodes a subunit of the cytochrome bc1 complex, which plays an important role in the mitochondrial respiratory chain by transferring electrons from the Rieske iron-sulfur protein to cytochrome c. Mutations in this gene may cause mitochondrial complex III deficiency, nuclear type 6.,CYC1,MC3DN6,UQCR4,Signal Transduction,Endocrine & Metabolism,Mitochondrial metabolism,Mitochondrial markers,Neuroscience,Neurodegenerative Diseases,CYC1

    Molecular Weight

    35 kDa

    Gene ID

    1537

    UniProt

    P08574
You are here:
Chat with us!