Phone:
+1 877 302 8632
Fax:
+1 888 205 9894 (Toll-free)
E-Mail:
orders@antibodies-online.com

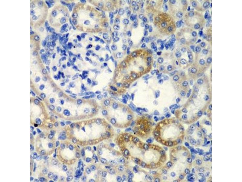
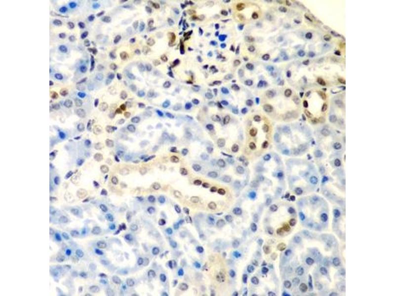
DCMP Deaminase (DCTD) (AA 1-178) antibody

The Rabbit Polyclonal anti-DCMP Deaminase antibody is suitable to detect DCMP Deaminase in samples from Human. It has been validated for WB and IHC.
Catalog No. ABIN6139451
$383.00
Plus shipping costs $50.00
Shipping to: United States
Delivery in 7 to 10 Business Days

Quick Overview for DCMP Deaminase (DCTD) (AA 1-178) antibody (ABIN6139451)

Target

See all DCMP Deaminase (DCTD) Antibodies
DCMP Deaminase (DCTD)

Reactivity

  • 32
  • 3
  • 3
  • 2
  • 2
  • 2
  • 2
  • 2
  • 2
Human

Host

  • 29
  • 3
Rabbit

Clonality

  • 30
  • 2
Polyclonal

Conjugate

  • 16
  • 2
  • 2
  • 2
  • 2
  • 1
  • 1
  • 1
  • 1
  • 1
  • 1
  • 1
  • 1
Un-conjugated

Application

  • 19
  • 13
  • 5
  • 5
  • 4
  • 4
  • 3
  • 2
  • 2
  • 2
Western Blotting (WB), Immunohistochemistry (IHC)
  • Binding Specificity

    • 9
    • 7
    • 2
    • 2
    • 2
    • 1
    • 1
    • 1
    AA 1-178

    Sequence

    MSEVSCKKRD DYLEWPEYFM AVAFLSAQRS KDPNSQVGAC IVNSENKIVG IGYNGMPNGC SDDVLPWRRT AENKLDTKYP YVCHAELNAI MNKNSTDVKG CSMYVALFPC NECAKLIIQA GIKEVIFMSD KYHDSDEATA ARLLFNMAGV TFRKFIPKCS KIVIDFDSIN SRPSQKLQ

    Cross-Reactivity

    Human, Mouse, Rat

    Characteristics

    Polyclonal Antibodies

    Purification

    Affinity purification

    Immunogen

    Recombinant fusion protein containing a sequence corresponding to amino acids 1-178 of human DCTD (NP_001912.2).

    Isotype

    IgG
  • Application Notes

    WB,1:500 - 1:2000,IHC,1:50 - 1:200

    Comment

    HIGH QUALITY

    Restrictions

    For Research Use only
  • Format

    Liquid

    Buffer

    PBS with 0.02 % sodium azide,50 % glycerol, pH 7.3.

    Preservative

    Sodium azide

    Precaution of Use

    This product contains Sodium azide: a POISONOUS AND HAZARDOUS SUBSTANCE which should be handled by trained staff only.

    Storage

    -20 °C

    Storage Comment

    Store at -20°C. Avoid freeze / thaw cycles.
  • Target

    DCMP Deaminase (DCTD)

    Alternative Name

    DCTD

    Background

    The protein encoded by this gene catalyzes the deamination of dCMP to dUMP, the nucleotide substrate for thymidylate synthase. The encoded protein is allosterically activated by dCTP and inhibited by dTTP, and is found as a homohexamer. This protein uses zinc as a cofactor for its activity. Two transcript variants encoding different isoforms have been found for this gene.,DCTD,Epigenetics & Nuclear Signaling,DCTD

    Molecular Weight

    20 kDa/21 kDa

    Gene ID

    1635

    UniProt

    P32321
You are here:
Chat with us!