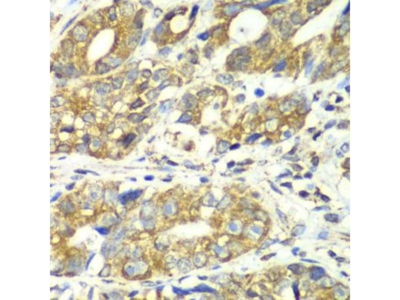
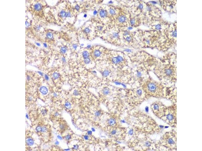
DLST antibody (AA 1-290)
Quick Overview for DLST antibody (AA 1-290) (ABIN6139665)
Target
See all DLST AntibodiesReactivity
Host
Clonality
Conjugate
Application
-
-
Binding Specificity
- AA 1-290
-
Sequence
- MLSRSRCVSR AFSRSLSAFQ KGNCPLGRRS LPGVSLCQGP GYPNSRKVVI NNSVFSVRFF RTTAVCKDDL VTVKTPAFAE SVTEGDVRWE KAVGDTVAED EVVCEIETDK TSVQVPSPAN GVIEALLVPD GGKVEGGTPL FTLRKTGAAP AKAKPAEAPA AAAPKAEPTA AAVPPPAAPI PTQMPPVPSP SQPPSGKPVS AVKPTVAPPL AEPGAGKGLR SEHREKMNRM RQRIAQRLKE AQNTCAMLTT FNEIDMSNIQ EMRARHKEAF LKKHNLKLGF MSAFVKASAF
-
Cross-Reactivity
- Human, Mouse, Rat
-
Characteristics
- Polyclonal Antibodies
-
Purification
- Affinity purification
-
Immunogen
- Recombinant fusion protein containing a sequence corresponding to amino acids 1-290 of human DLST (NP_001924.2).
-
Isotype
- IgG
-
-
-
-
Application Notes
- WB,1:500 - 1:2000,IHC,1:50 - 1:100,IF,1:50 - 1:100
-
Restrictions
- For Research Use only
-
-
-
Format
- Liquid
-
Buffer
- PBS with 0.02 % sodium azide,50 % glycerol, pH 7.3.
-
Preservative
- Sodium azide
-
Precaution of Use
- This product contains Sodium azide: a POISONOUS AND HAZARDOUS SUBSTANCE which should be handled by trained staff only.
-
Storage
- -20 °C
-
Storage Comment
- Store at -20°C. Avoid freeze / thaw cycles.
-
-
- DLST (Dihydrolipoamide S-Succinyltransferase (E2 Component of 2-Oxo-Glutarate Complex) (DLST))
-
Alternative Name
- DLST
-
Background
- This gene encodes a mitochondrial protein that belongs to the 2-oxoacid dehydrogenase family. This protein is one of the three components (the E2 component) of the 2-oxoglutarate dehydrogenase complex that catalyzes the overall conversion of 2-oxoglutarate to succinyl-CoA and CO(2). Alternatively spliced transcript variants have been found for this gene.,DLST,DLTS,Signal Transduction,Endocrine & Metabolism,Mitochondrial metabolism,Mitochondrial markers,Amino acid metabolism,DLST
-
Molecular Weight
- 39 kDa/48 kDa
-
Gene ID
- 1743
-
UniProt
- P36957
Target
-